Figure 1

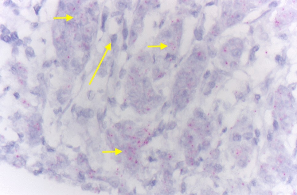
Adenocarcinoma of the esophagus shows homogeneous mRNA in situ positivity (small red dots) in the carcinoma cells (short arrow), surrounding stromal cells such as fibroblasts and endothelia are NOPE mRNA negative (long arrow).

Adenocarcinoma of the esophagus shows homogeneous mRNA in situ positivity (small red dots) in the carcinoma cells (short arrow), surrounding stromal cells such as fibroblasts and endothelia are NOPE mRNA negative (long arrow).