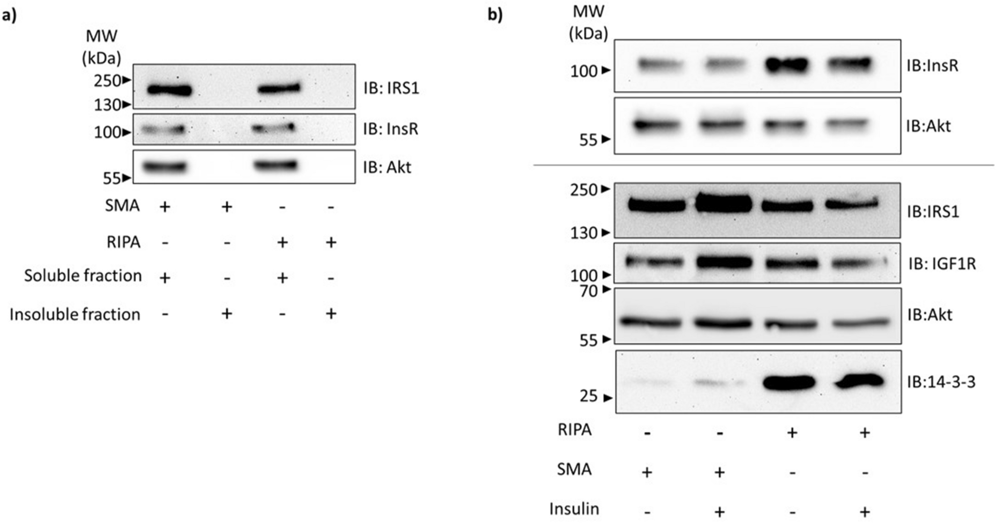
Figure 1

Fractionation of SMA and RIPA cell extracts to show the distribution of proteins involved in the insulin signalling cascade. (a) 3T3L1 cells were extracted with SMA or RIPA prior to ultracentrifugation for the preparation of soluble and insoluble fractions. (b) 3T3L1 cells were treated with insulin (+) or left untreated (−) prior to extraction with SMA or RIPA. Insoluble material was removed by centrifugation. Proteins in soluble fractions were separated by SDS-PAGE, transferred to nitrocellulose and detected by immunoblotting (IB) with antibodies specific to the indicated protein. Representative immunoblots are shown.