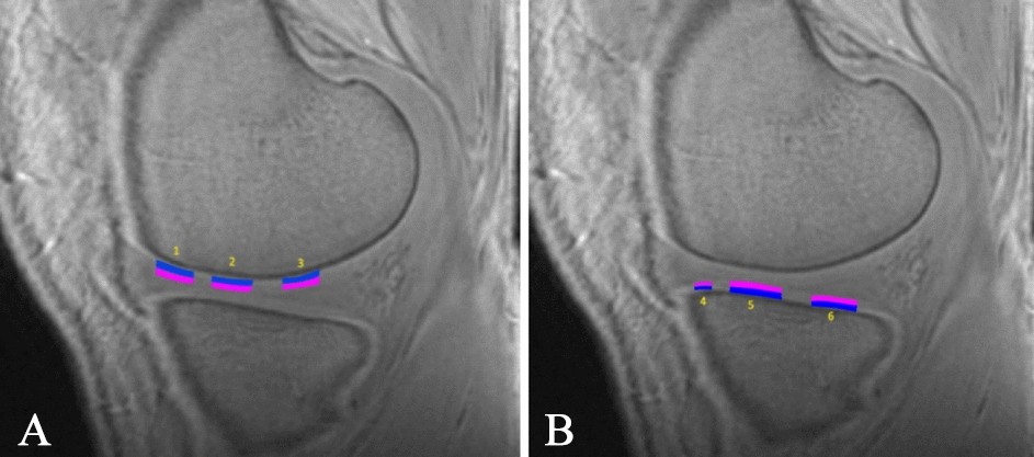
Figure 5

Cartilage position measured in this study. Zero TE MR imaging demonstrates the cartilage at the femur (A) and tibia (B) in the knee joint. The marked targets were measured. 1, The femur cartilage at the anterior horn of the medial (lateral) meniscus. 2, The cartilage at the load-bearing region of the medial (lateral) condyle of the femur. 3, The femur cartilage at the posterior horn of the medial (lateral) meniscus. 4, The tibia cartilage at the anterior horn of the medial (lateral) meniscus. 5, The cartilage at the load-bearing region of the medial (lateral) condyle of the tibia. 6, The tibia cartilage at the posterior horn of the medial (lateral) meniscus. The blue rectangle indicates the deep layer of cartilage, and the pink rectangle indicates the shallow layer of cartilage.