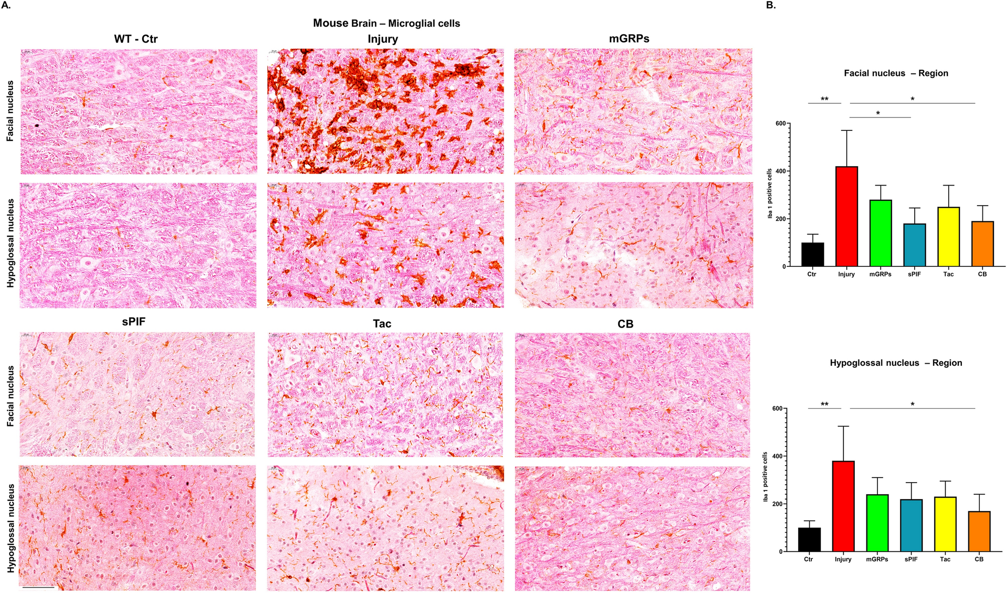
Figure 3

Central immune responses. (A) Representative images of microglial cells (Iba-1 positive cells) in two regions of the brain. (B) All therapeutic groups reduced the number of microglial cells significantly. mGRPs: glial-restricted precursors; sPIF: synthetic PreImplantation Factor; Tac: Tacrolimus, CB: co-stimulatory blockade. *p < 0.05; **p < 0.01; ***p < 0.001. Differences are calculated using one-way analysis of variance (ANOVA) followed by a post–hoc test (Bonferroni test).