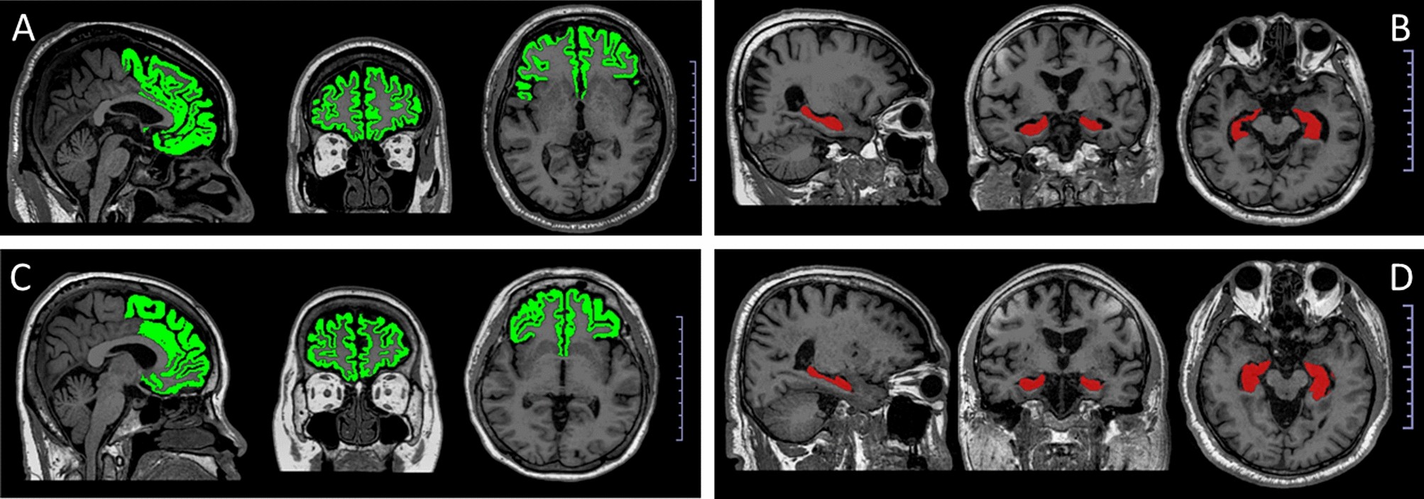
Figure 1

Representation of MRI brain images of participants, the prefrontal cortex identified in green and the hippocampus in red (scale bar, 1 cm × 10 scale); (A) the brain of a 59-year-old man with a MoCA score = 25, total prefrontal cortex percentage = 26.9 and circulating lipocalin level in 2020 = 8.59 ng/ml; (B) the brain of a 65-year-old man with a MoCA score = 27, total hippocampus percentage = 0.6 and circulating lipocalin level in 2020 = 21.15 ng/ml; (C) the brain of a 60-year-old man with a MoCA score = 24, total prefrontal cortex percentage = 23.4 and circulating lipocalin level in 2020 = 21.98 ng/ml; (D) the brain of a 60-year-old man with a MoCA score = 25, total hippocampus percentage = 0.49, and circulating lipocalin level in 2020 = 13.07 ng/ml.