Figure 2

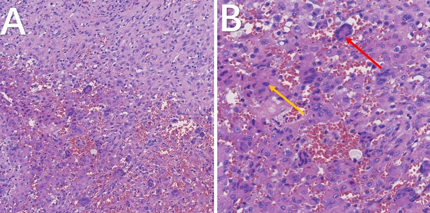
Representative histology from patient 9. The lesion composed of plenty of multinucleated giant cells (red arrow) and mononuclear cells (yellow arrow) with hematoxylin–eosin stain (A and B).

Representative histology from patient 9. The lesion composed of plenty of multinucleated giant cells (red arrow) and mononuclear cells (yellow arrow) with hematoxylin–eosin stain (A and B).