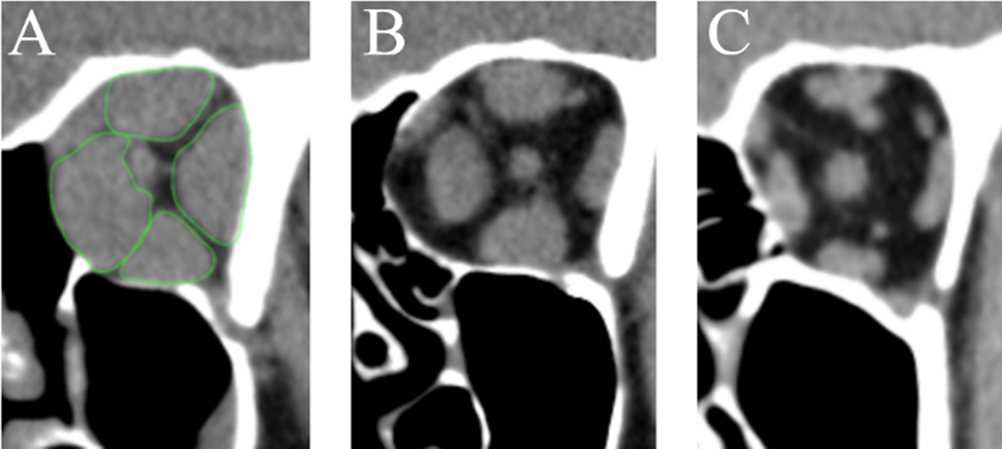
Figure 2

Coronal reconstructed CT images (orthogonal to the optic nerve) (A) patient with TED + DON and massive enlargement of the EOM (measured muscles exemplary outlined in green); (B) patient with TED only and substantial increase in muscle volume; (C) healthy control group orbit with normal muscle dimensions.