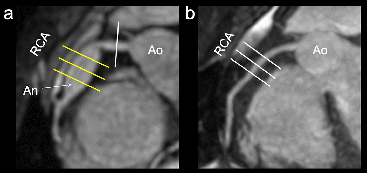
Figure 1

Slice setting. The white lines indicate normal regions, and the yellow lines indicate aneurysmal regions. The magnetic resonance angiography (MRA)-collapsed partial maximum intensity projection (MIP) image demonstrates the right coronary artery (RCA) in case 7 (a). For aneurysms, the basic settings were three cross-sections: center, proximal, and distal portions (a). The MRA-collapsed partial MIP image demonstrates the RCA in case 8 (b). In the follow-up examination of aneurysm regression, the previous aneurysm regression was regarded as a normal part, and cross-sectional images were continuously obtained (b) (An aneurysm, Ao aorta).