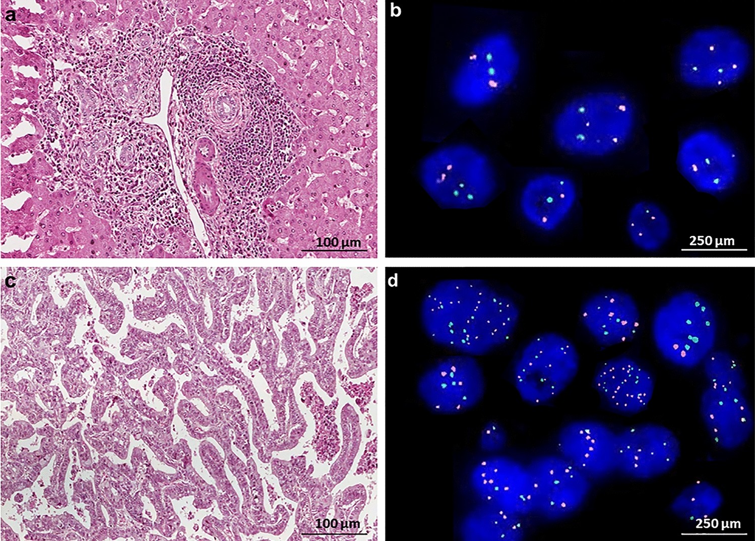
Figure 2

The representative figures of chromosomal aberrations in CCA and cholangitis patients. FFPE from a cholangitis patient; H&E staining, 400X, scale bar = 100 µm (a) showed disomy C7 and 17 of FISH assay, 1000X, scale bar = 250 µm (b). FFPE from a CCA patients of H&E staining, 400X, scale bar = 100 µm (c) showed polysomy of C7 and 17 of FISH assay, 1000X, scale bar = 250 µm (d).