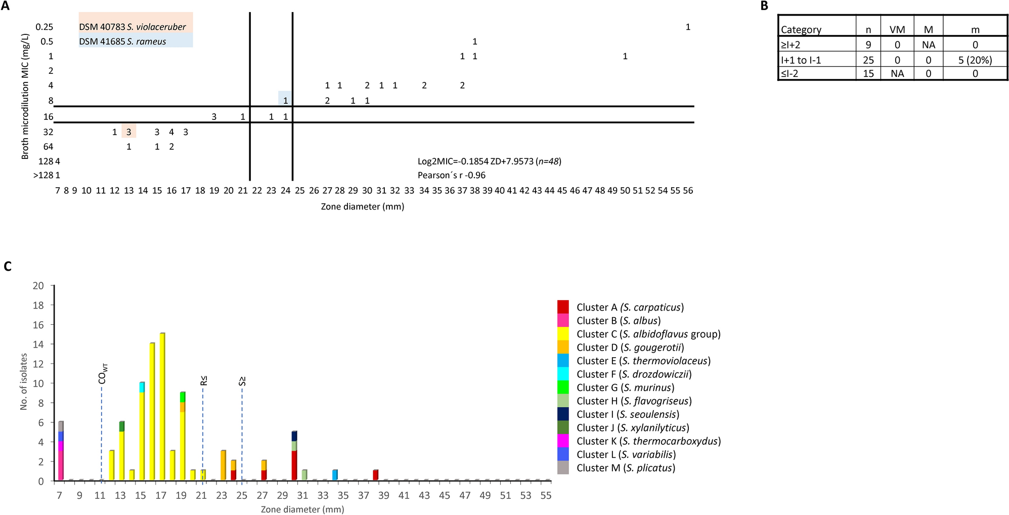
Figure 2

Ampicillin. Results of the correlation analysis of BM and DD methods followed by susceptibility testing of clinical isolates. (A) Scattergram comparing the results of broth microdilution MICs (mg/L) and zone diameters (mm) for 49 Streptomyces strains. The lines represent the proposed ZD interpretive criteria. (B) The table displays the number of tested isolates (n), very major error (VM), major error (M) and minor error (m). (C) The graph depicts the zone diameters distribution for 84 clinical Streptomyces strains. Dotted lines represent proposed zone diameter breakpoints (R—resistant category, S—susceptible category) and the COWT value. Individual phylogenetic clusters are distinguished by colour. Based on the scattergram data, distribution of MICs and zone diameters, breakpoints were set as R ≤ 18 mm, I = 19–24 mm and S ≥ 25 mm, with no very major or major error and 4% of minor error (1 strain). However, when evaluating the zone size distribution of clinical strains, the COWT of dominant cluster C was calculated to be 11 mm, indicating that the entire cluster C is resistant to ampicillin. Therefore, to minimise the risk of setting clinical breakpoints which split the resistant population (dominant cluster C) and in order to prevent misclassification of resistant strains as intermediate (I), we propose to use interpretive breakpoints as R ≤ 21 mm, I = 22–24 mm, and S ≥ 25 mm.