Figure 1
From: Immunotherapeutic effects of recombinant colorectal cancer antigen produced in tomato fruits

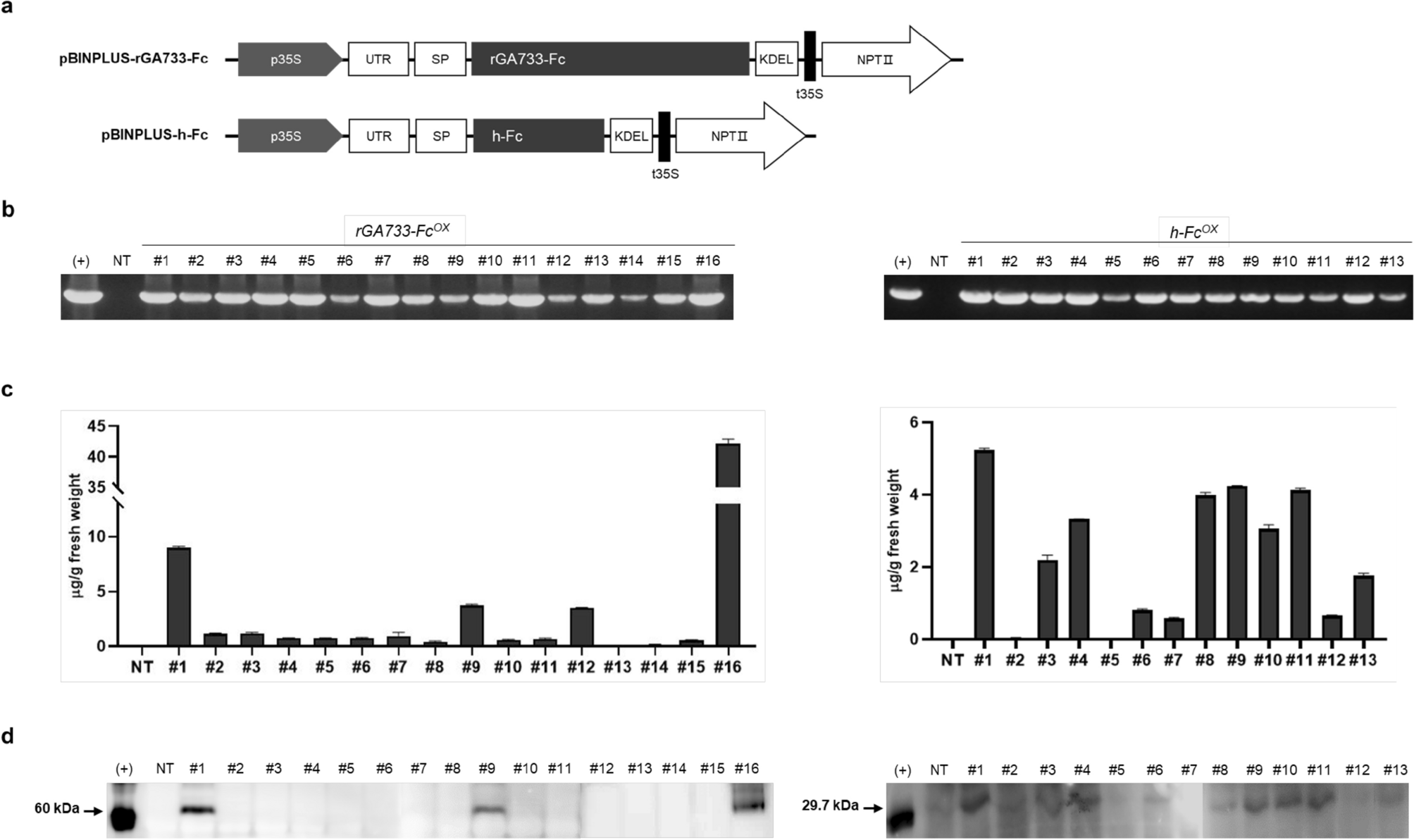
Production of rGA733-Fc and h-Fc expressing transgenic tomato. Transgenic tomato plants producing rGA733-Fc or h-Fc protein were produced using the Agrobacterium-mediated transformation method with pBINPLUS-GA733-Fc or pBINPLUS-h-Fc plant expression vectors. (a) The schematic diagram of pBINPLUS-GA733-Fc and pBINPLUS-h-Fc vectors. p35S, cauliflower mosaic virus 35S promoter; UTR, 5′ UTR from the tobacco etch virus; SP, 30-aa plant ER signal peptide (MATQRRANPSSLHLITVFSLLAAVVSAEVD); KDEL, endoplasmic reticulum (ER) retention motif; t35S, cauliflower mosaic virus 35S terminator; NPT II, neomycin phosphotransferase II. (b) The transgenic plants were screened by PCR amplification of the expression cassettes. (c) Protein expression levels were determined by ELISA analysis with AP-conjugated goat anti-human IgG. Data represent mean + standard deviation (N = 3). (d) Western blot analysis with the GA733-2 specific antibody using leaves of the transgenic plants.