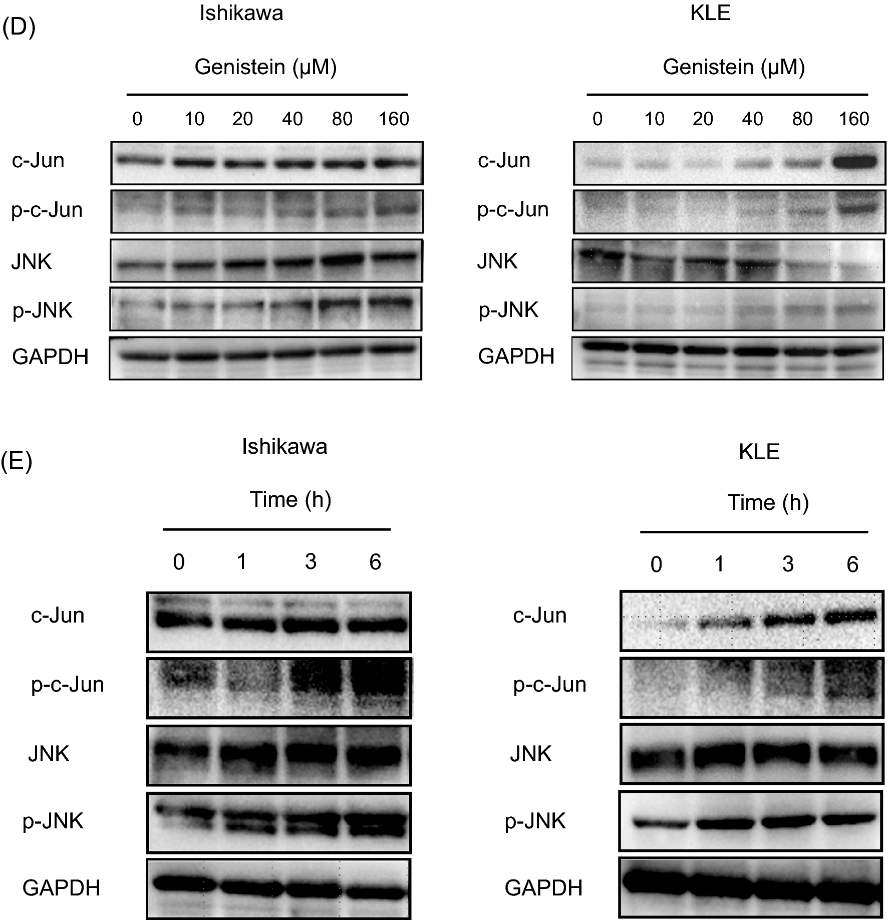
Figure 4


Effects of genistein on the methylation of progesterone receptor (PR) promoter, the expression of CCAAT/enhancer binding protein beta (C/EBPβ), and the activation of c-Jun N-terminal kinase (JNK) pathway. The methylation status of promoters of PR-A and PR-B was assessed in Ishikawa and KLE cells treated with genistein for 144 h using methylation-specific polymerase chain reaction (MSP) (A). The expression of C/EBPβ in cancer cells was evaluated by western blot analysis (B). The expression of c-Jun in cancer cells was examined by quantitative polymerase chain reaction (qPCR) (C). Western blot analysis of proteins related to the JNK pathway in cancer cells after 24 h of exposure to 0, 10, 20, 40, 80, and 160 μM genistein (D) and at 0, 1, 3, and 6 h after treatment with 100 μM genistein (E). Full-length western blots are presented in Supplementary Fig. 5–6. Data represent the mean ± standard error of the mean (n = 3). P values are based on Student’s t-test. **P < 0.01.