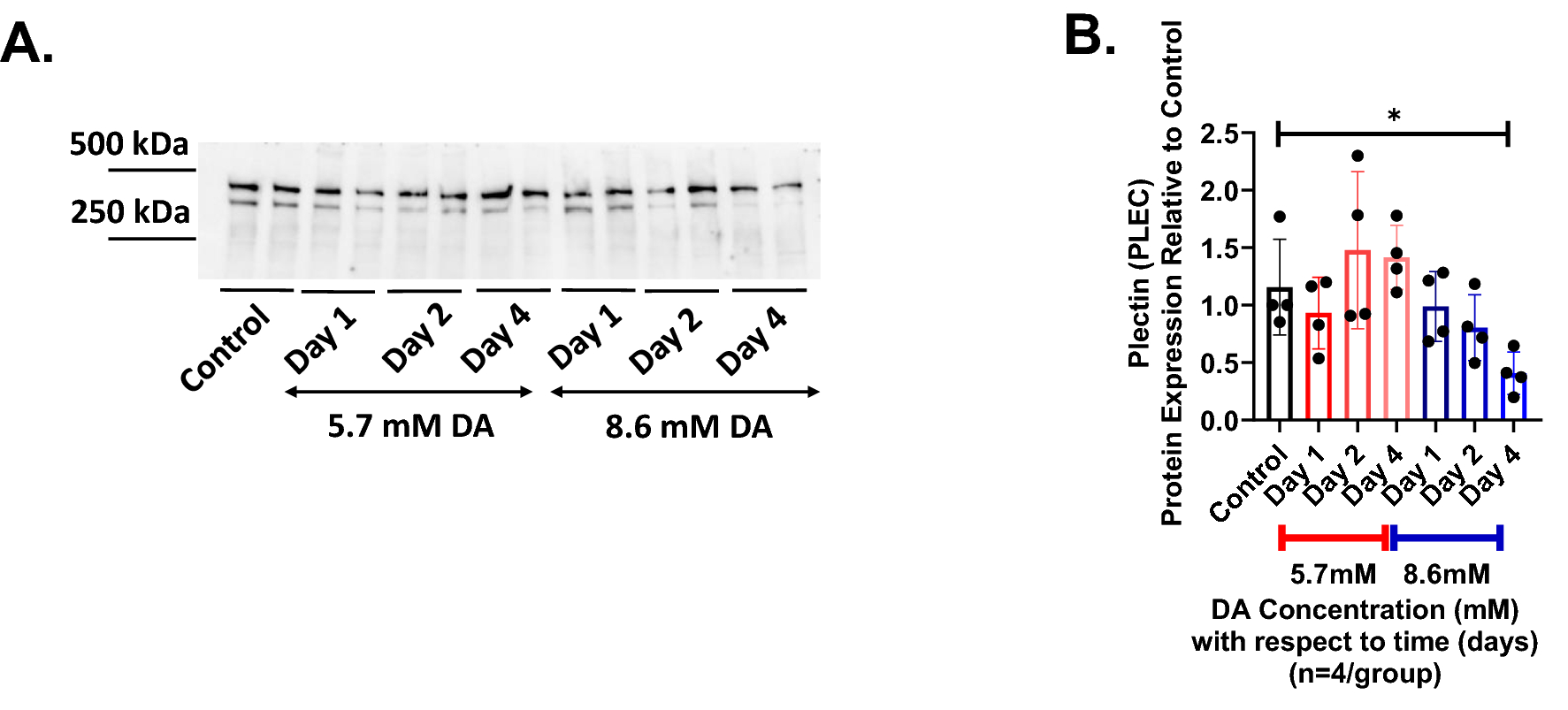
Figure 4

Changes in plectin abundance after DA exposure. (A) Representative western blot of plectin (PLEC) from epithelial cell culture homogenates at Days 1, 2 and 4 after DA exposure (5.7 and 8.6 mM). (B) Semi-quantification of PLEC abundance normalized to lane total protein that decreased significantly at Day 4 in cultures exposed to 8.6 mM DA compared to controls (ANOVA, *p < 0.05; n = 4/group).