Figure 6

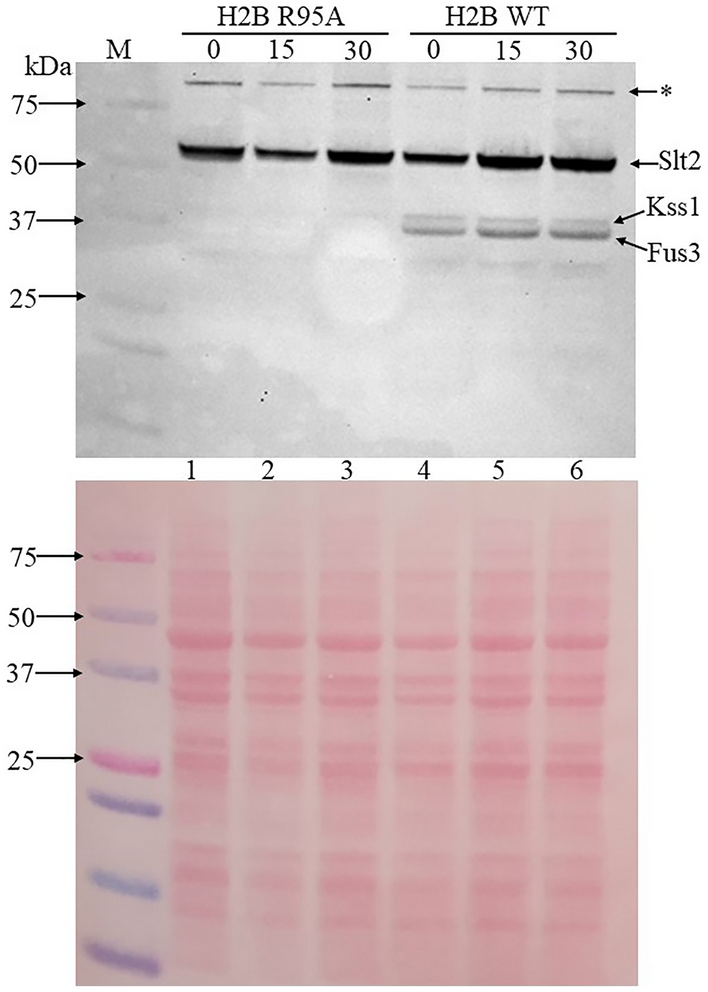
The MAP kinase Fus3, a downstream component of the pheromone pathway, is phosphorylated in the H2B WT, but not detected in the H2B R95A mutant. Exponentially growing cells were treated without (time zero) and with rapamycin (200 ng/ml). Samples were taken at 15 and 30 min for total protein extraction by trichloroacetic acid (TCA). The TCA extracted proteins were analyzed by immunoblot and probed with anti Erk1/2 to detect the MAPKs (see “Materials and methods”). The antibody detects three know proteins in yeast, the Slt2 kinase, Kss1, and Fus3. The asterisk denotes a high molecular weight polypeptide of unknown origin. The lower panel was stained with Ponceau to monitor for equal protein loading from the TCA samples. M, prestained protein markers in kDa.