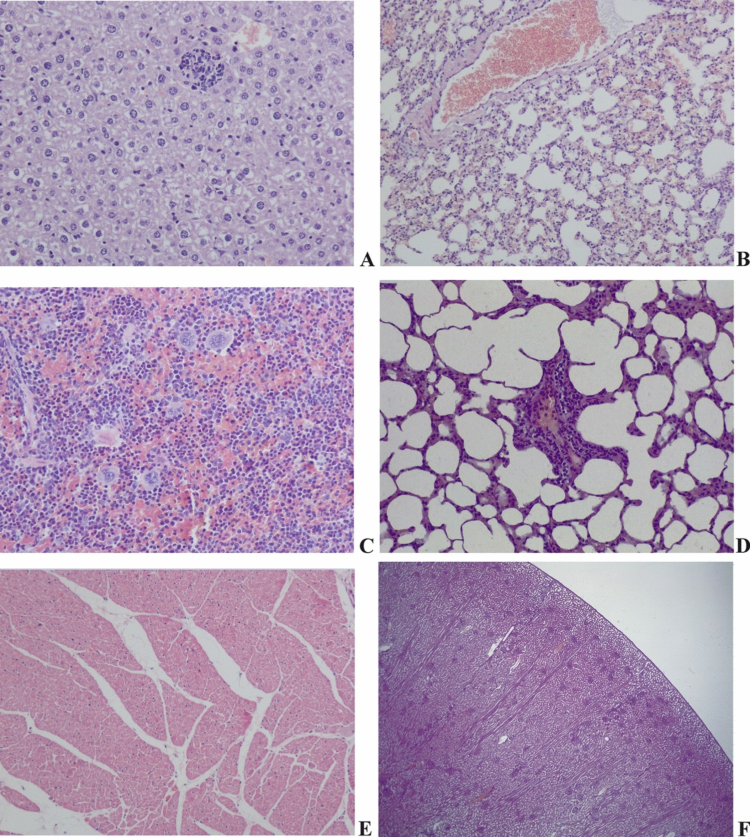
Figure 1

Normal histology and background findings in main organs in gerbils and sheep treated with 2aBZ and controls. No changes associated to treatment were present in any of the animals. Hematoxylin and eosin staining. (A) Liver of treated gerbil: normal hepatocyte structure and well ordered hepatic cords, with foci of inflammatory cells not associated with tissue damage, also present in negative controls. 100×. (B) Lung of control gerbil: Normal alveoli and blood vessels. Extravasated red blood cells in alveolar lumen also present in treated animals. 100×. (C) Spleen in control gerbil: Normal red and white pulp. Extramedullary hematopoiesis with megakaryocytes, also present in treated animals. 200×. (D) Lung of control sheep: Normal alveoli with low number of perivascular mononuclear cells. Also present in treated sheep. 200×. (E) Heart of a treated sheep: Normal cardiomyocytes and epicardium. 100×. (F) Kidney of a treated sheep: Normal renal structures (Glomerulus, proximal tubule and distal tubule). 40×.