Figure 1

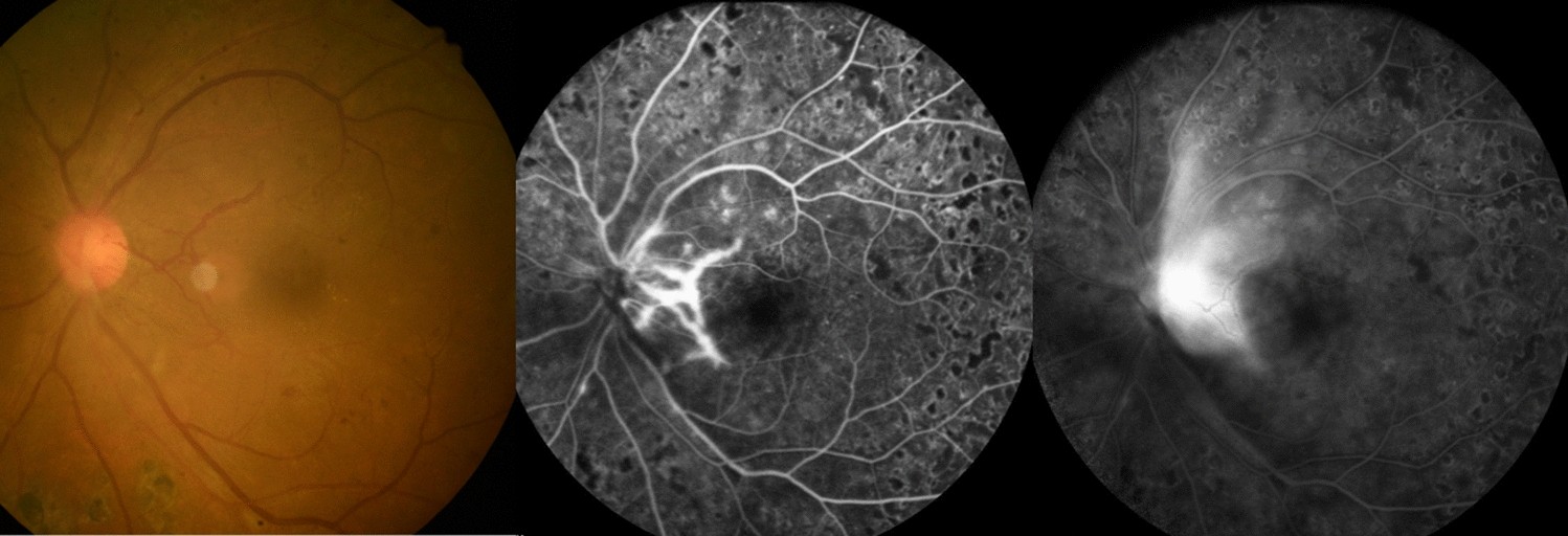
Fundus photographs and fluorescein angiography of case 1 at 6 months after PRP. Engorged new vessel on disc and severe leakage therefrom are observed.

Fundus photographs and fluorescein angiography of case 1 at 6 months after PRP. Engorged new vessel on disc and severe leakage therefrom are observed.