Figure 4

Optical coherence tomography of case 1 at (A) initial visit, (B) 24 months, (C) 48 months, and final visit. No diabetic macular edema developed during the follow-up period.

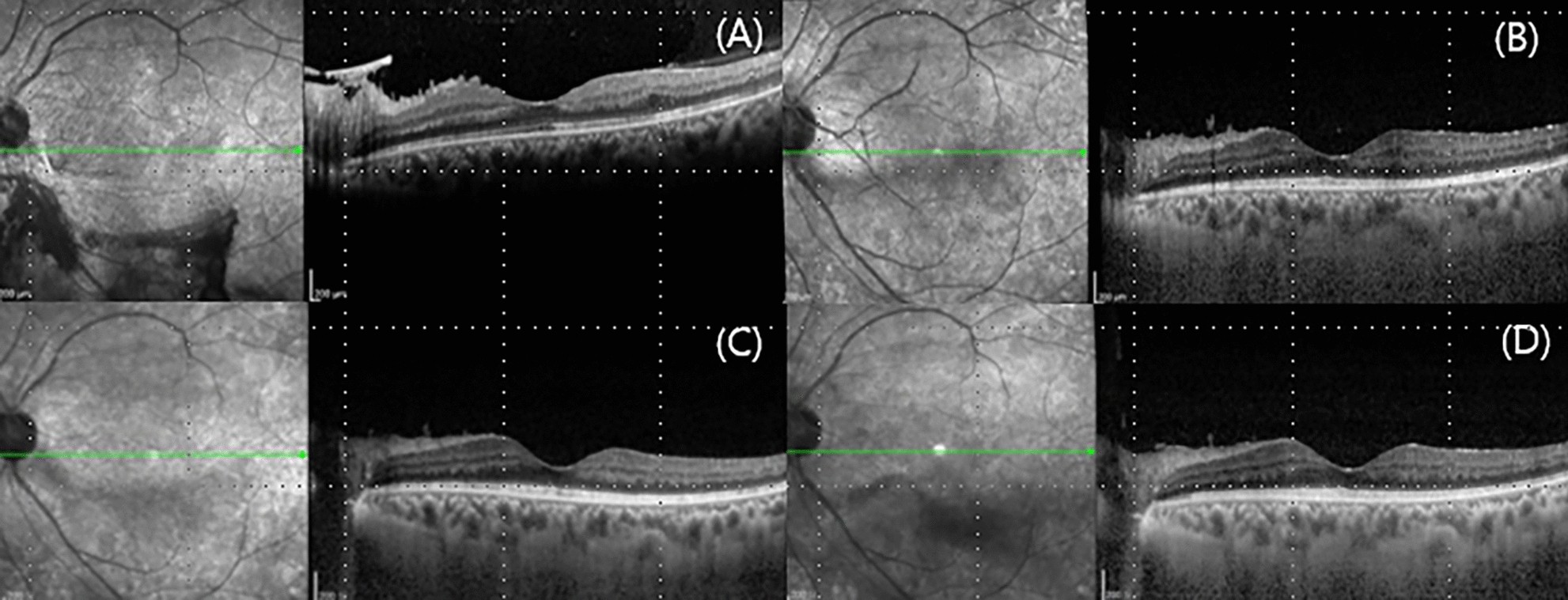
Optical coherence tomography of case 1 at (A) initial visit, (B) 24 months, (C) 48 months, and final visit. No diabetic macular edema developed during the follow-up period.