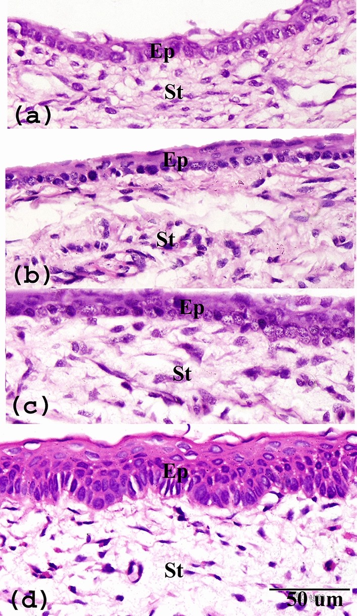
Figure 1

Paraffin sections stained with H&E showing postnatal development of limbal epithelium (a) PND1, one to two layers of cells presented in the limbal epithelium. (b) At PND7, slightly increased to three-four layers. (c) At PND15, increased to five to six layers, (d) At PND30, the thickness of limbal epithelium was highly differentiated and showed mature stratified squamous epithelium. Note epithelium (Ep) and stroma (St).