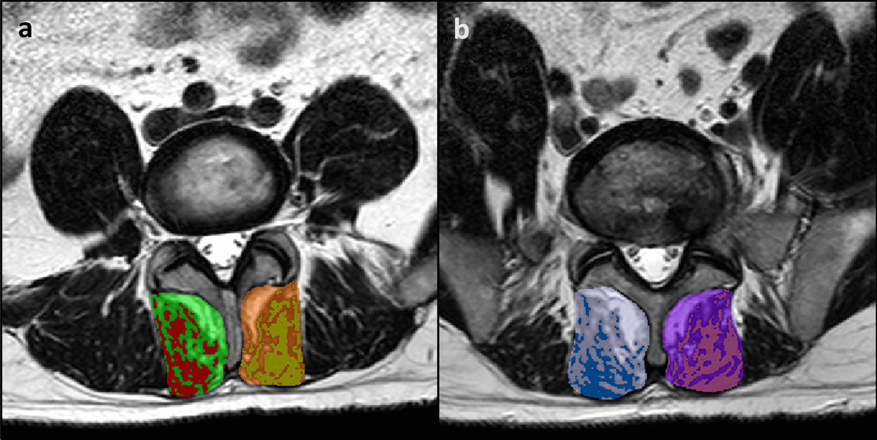
Figure 2

Multifidus muscle total CSA and % MCSA. (a) bilateral total CSA (L4), with red and gold highlights indicating the right and left peak muscle CSA, respectively; (b) bilateral total CSA (L5), with blue and pink highlighting the right and left peak muscle CSA, respectively. Note This method did not select all potential muscle signal; only the “purest” muscle tissue was highlighted.