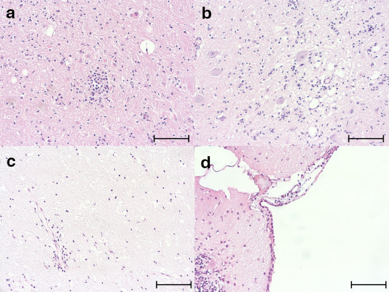
Figure 1
From: Neuropathologic and molecular aspects of a canine distemper epizootic in red foxes in Germany

Histological lesions in fox brains. (a) Nodular gliosis, cerebellum. (b) Diffuse gliosis and vacuolization, cerebrum. (c) Mild perivascular lymphohistiocytic cuffing, cerebrum. (d) Meningeal lymphohistiocytic infiltrates, brainstem. (a–d) H&E staining. Scale bars = 100 µm.