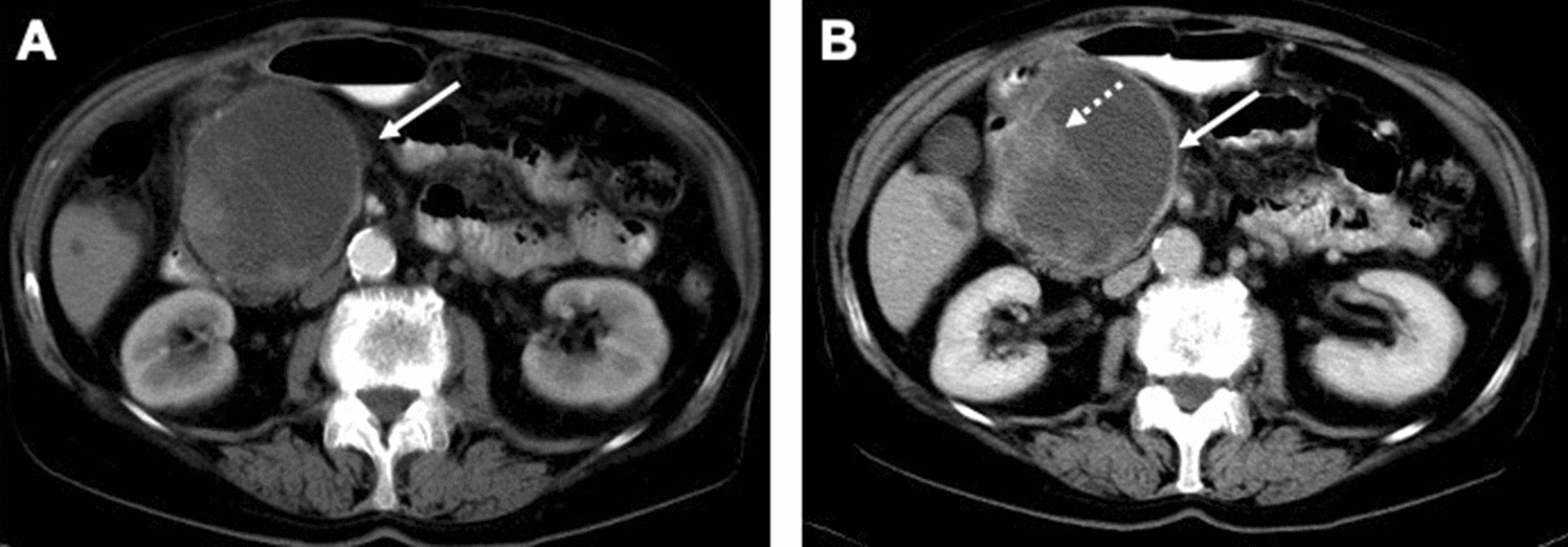
Figure 4

ITPN mimicking the morphology of mucinous cystic neoplasm. (A,B) Axial CT scans in the arterial phase (A) and portal venous phase (B) demonstration a huge oligocystic mass (arrow) in the pancreatic head with an enhancing solid nodular component (dotted arrow).