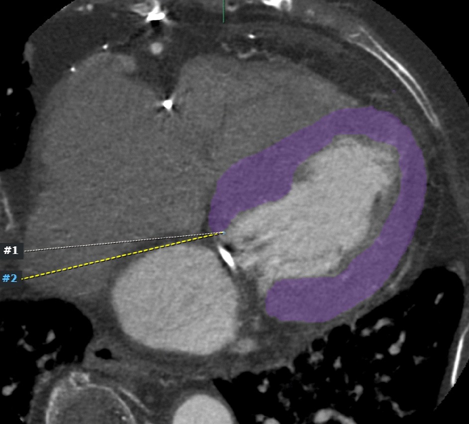
Figure 4

Axial cardiac CT image of a 77-year-old female patient. The myocardium (purple color) is segmented by excluding the LV blood pool and trabeculae to improve reproducibility for delineating the endocardial border. CT, computed tomography; LV, left ventricular.