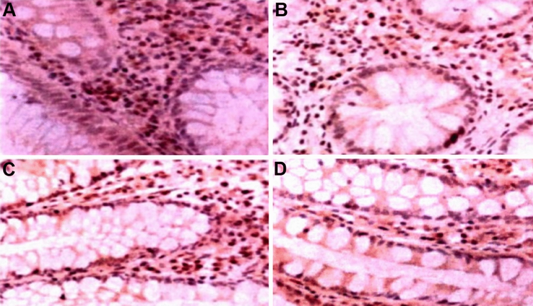
Figure 2

Detection results of P-gp immunohistochemical staining. (A) Results of P-gp staining in epithelial cells of healthy control colon tissues. (B) Results of P-gp staining in the lamina propria of healthy control colon tissue. (C) Results of P-gp staining in the epithelial cells of colon tissue of UC patients. (D) Results of P-gp staining in the lamina propria of colonic tissue from UC patients. Magnification is 400x.