Figure 2

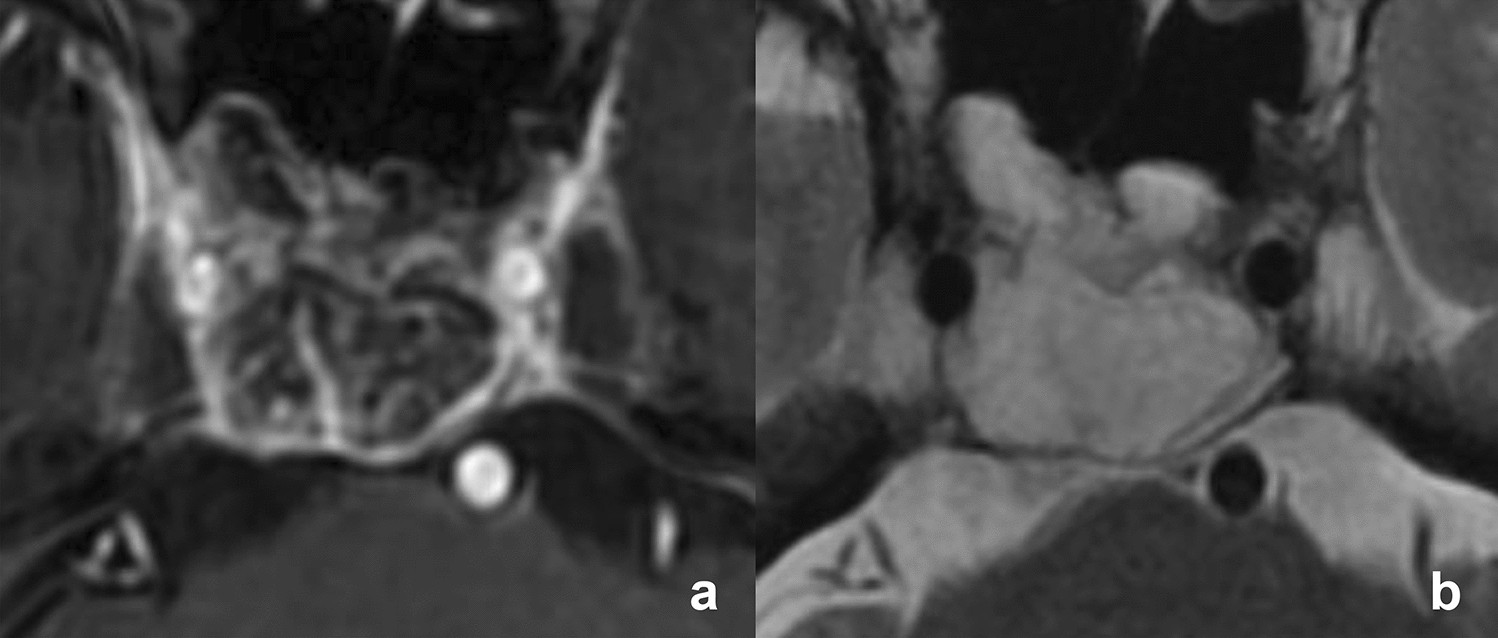
Magnetic resonance imaging of stroma-poor chordoma. (a) Contrast-enhanced T1-weighted and (b) T2-weighted imaging show a poorly enhancing mass originating from the clivus with T2 high signal intensity.

Magnetic resonance imaging of stroma-poor chordoma. (a) Contrast-enhanced T1-weighted and (b) T2-weighted imaging show a poorly enhancing mass originating from the clivus with T2 high signal intensity.