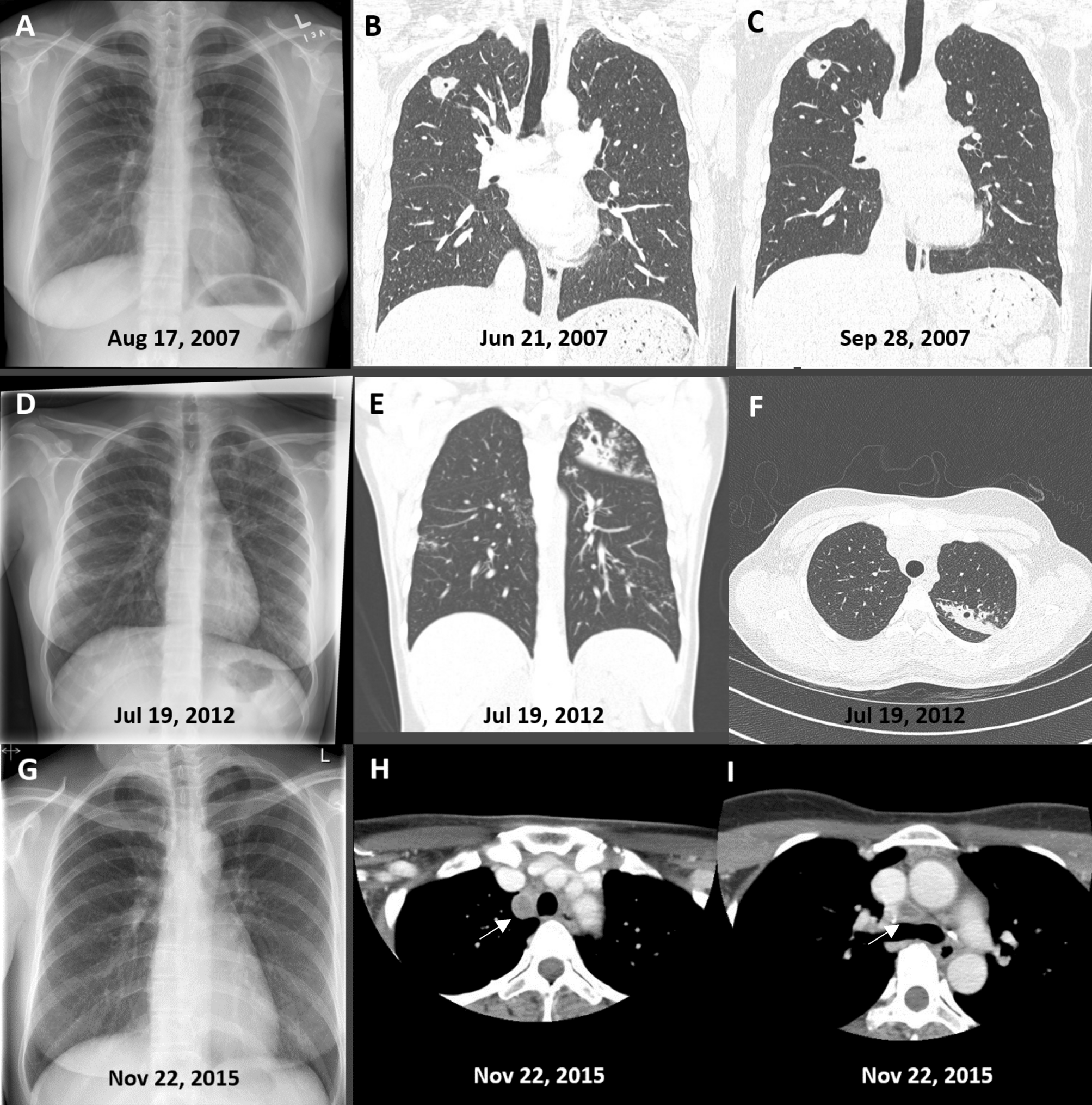
Figure 2

(A,B,C) Frontal chest radiograph (A) and thin Sect. (1.0 mm) coronal reformat computed tomographic (CT) images (B and C) in a patient diagnosed with smear-negative, culture-positive subclinical pulmonary tuberculosis on August 28, 2007. A small cavity is visible on CT scan but not on chest radiograph; the abnormality in the right upper lobe is stable over several months. (D,E,F) Frontal chest radiograph (D), a multiplanar reformation (MPR) coronal CT image (3 mm) (E) and a 1 mm transverse CT image through the upper thorax (F) in a patient diagnosed with smear-negative, culture-positive subclinical pulmonary tuberculosis on July 26, 2012. Cavitation is visible on CT scan but not on chest radiograph; endobronchial spread is more visible on CT scan than on chest radiograph. (G,H,I) Frontal chest radiograph (G) and 3 mm transverse CT images at the level of the aortic arch (H) and main carina (I) in a patient diagnosed with smear-positive, culture-positive subclinical pulmonary tuberculosis on November 24, 2015. An enlarged, centrally necrotic, lymph node is visible in the right paratracheal area (H) and a borderline enlarged centrally necrotic lymph node is visible just anterior to the main carina (I) on CT scan; neither was clearly visible or reported on chest radiograph.