Figure 2
From: CdGAP maintains podocyte function and modulates focal adhesions in a Src kinase-dependent manner

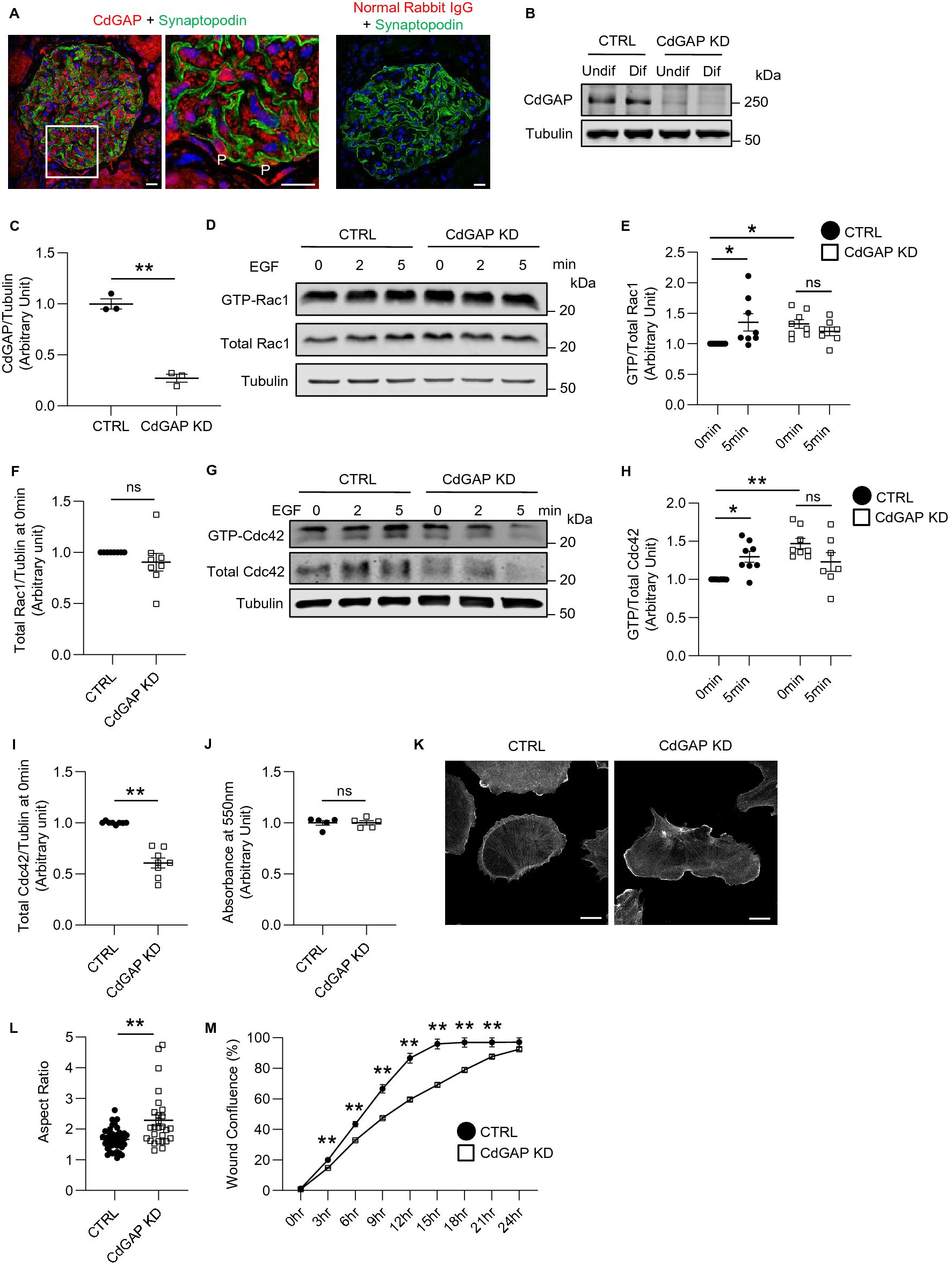
CdGAP modulates Rac1 activity, cell morphology, and motility in cultured podocytes. (A) Representative image of a glomerulus from a transplant donor kidney. Immunofluorescence staining was done for CdGAP (red) alongside the podocyte marker Synaptopodin (green) and DAPI (blue). The center panel shows a magnification of the indicated area (white squares) in the left panel. Normal rabbit IgG was used as a negative control (right panel). (B) Representative immunoblots for CdGAP and tubulin of cultured undifferentiated and differentiated human podocytes with CdGAP knockdown (KD) and controls (CTRL). (C) Densitometric quantification of CdGAP protein levels in differentiated podocytes in (B). (D,G) Cell lysates from differentiated CdGAP KD and control (CTRL) podocytes, which were untreated or treated with 100 ng/ml EGF, were subjected to pull-down with GST-CRIB for active GTP-bound forms of Rac1 (D) and Cdc42 (G). Representative immunoblots for Rac1 (D) and Cdc42 (G) with tubulin are shown. (E,H) Densitometric quantification of active GTP-bound forms of Rac1 (E) and Cdc42 (H) normalized to total Rac1 and Cdc42, respectively. (F,I) Densitometric quantification of total Rac1 (F) and Cdc42 (I) protein normalized to tubulin. (J) Quantification of the attachment assay at 2 h after plating. The ratio of absorbance at 550 nm is shown. (K) Representative images of phalloidin staining of differentiated control (CTRL) and CdGAP knockdown (KD) podocytes. (L) Quantification of the aspect ratio in (K). (M) Quantification of undifferentiated podocyte migration in a scratch wound healing assay. n = 3 (C); 7 to 9 (E and H); 8 (F and I); 5 (J); 27 or 42 (L); 24 (M) in each group. ns, not significant. Statistically significant differences (*P < 0.05, **P < 0.01), assessed by either the Student’s t-test (C,F,I,J,L,M) or ANOVA with the Tukey–Kramer test (E,H) are indicated. Bar: 20 μm (A,K).