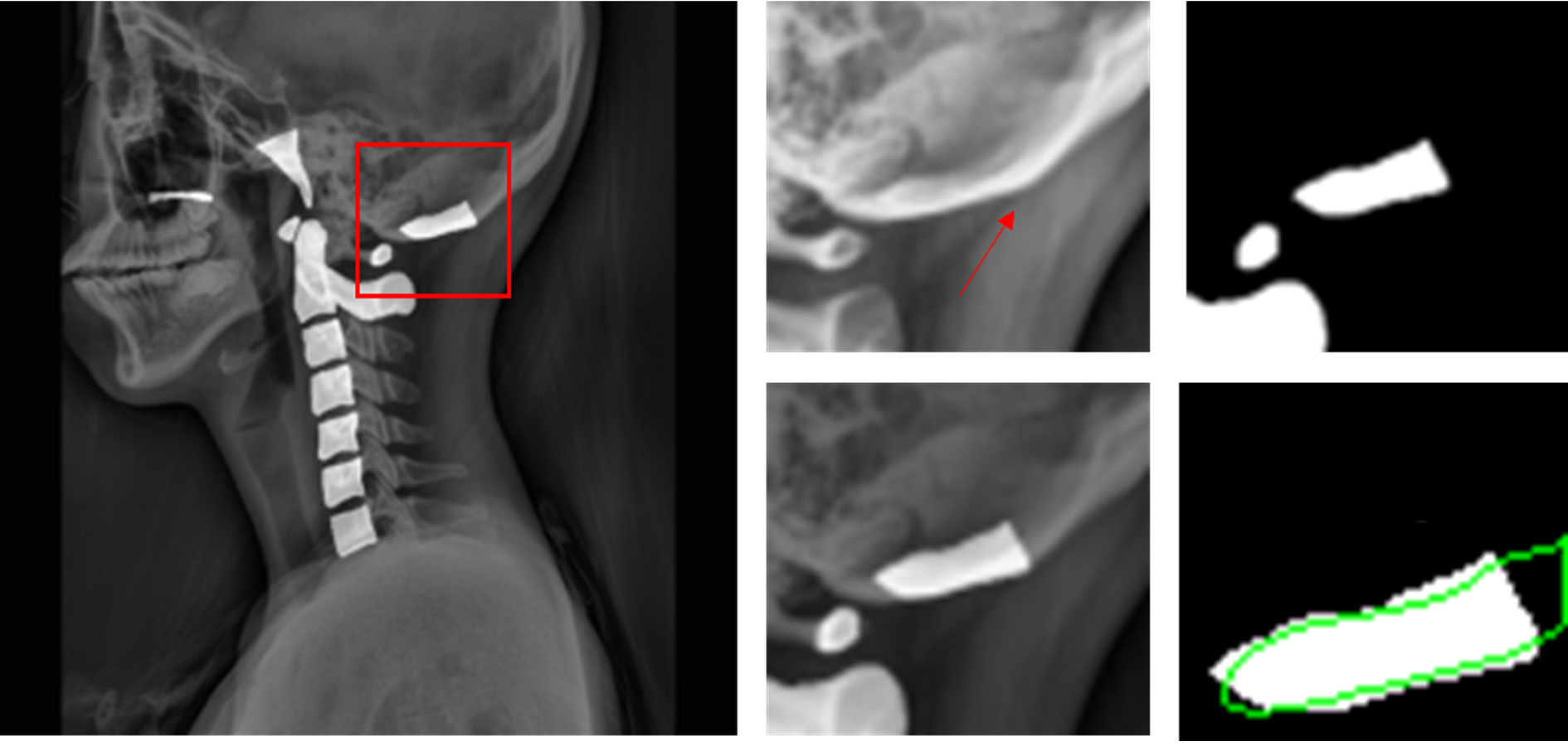
Figure 5

An example of obfuscated boundaries of an opisthion’s posterior end. Red arrow points to the ground truth boundary of the opisthion’s posterior end. The green outline shows an example of an AU-Net predicted opisthion mask, which extends further beyond the ground truth.