Figure 10
From: Contrast phase recognition in liver computer tomography using deep learning

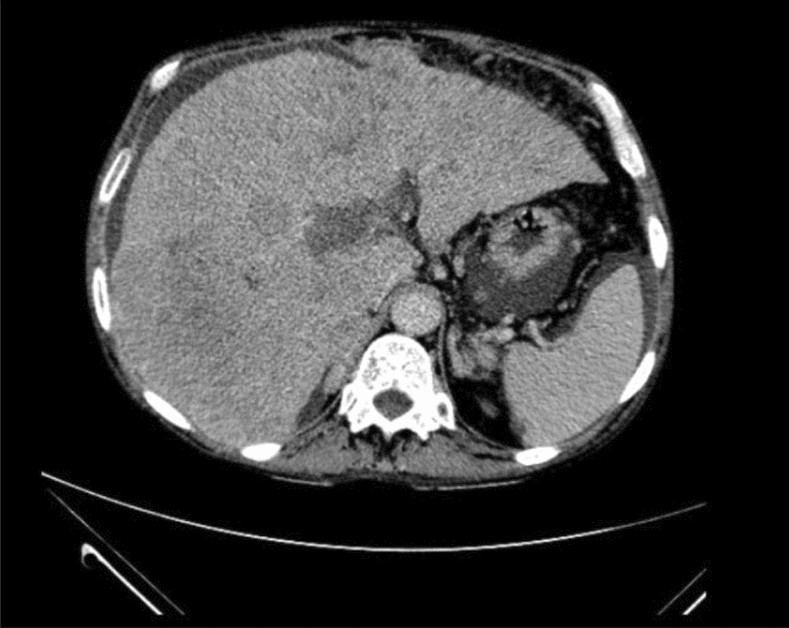
Example of a portal phase incorrectly classified as a delayed phase. Note that there is an infiltrative hepatocellular carcinoma with extensive portal vein thrombosis.