Figure 3
From: Replicative bypass studies of l-deoxyribonucleosides in Vitro and in E. coli cell

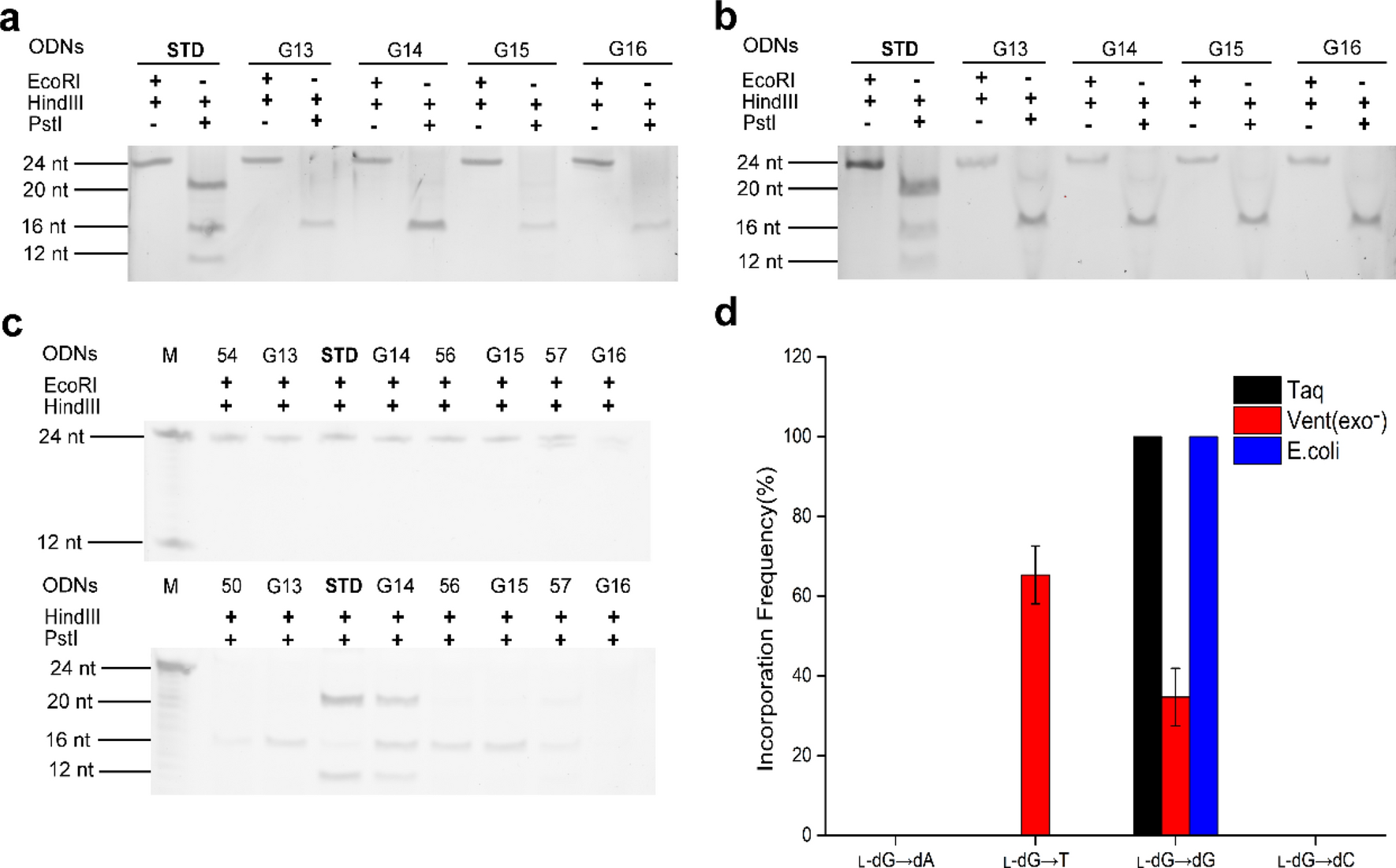
PAGE analysis of restriction fragments of replication products arising from the l-dG lesion-bearing genome (a) Taq DNA polymerase (b) Vent (exo-) DNA polymerase (c) E. coli cells and (d) its mutation frequency.