Figure 2
From: Establishment and validation of PTE prediction model in patients with cerebral contusion

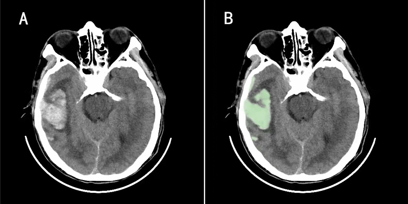
On the 3D slicer software, the contusion volume is provided by manually selecting the region of interest, setting the threshold based on the Hounsfield unit (the fixed thresholds of 110 and 50 HU) to distinguish the contusion part from the surrounding normal brain tissue, and automatically summarizing the adjacent voxels (A and B).