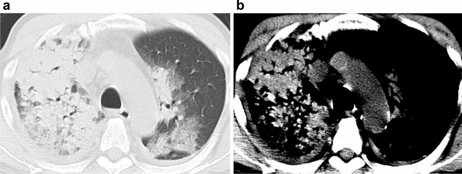
Figure 3

70-year-old man with diffuse alveolar hemorrhage in microscopic polyangiitis. (a) Transaxial CT with a lung window setting showing the consolidations and ground-glass opacities. (b) The hyperdense consolidation sign is seen in the narrow window setting with a mediastinal filter.