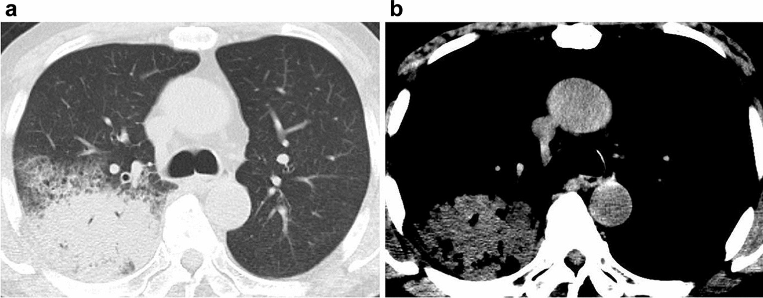
Figure 4

77-year-old man with bacterial pneumonia. (a) Transaxial CT with a lung window setting showing consolidations in the right lung. (b) In the narrow window setting with a mediastinal filter, the consolidation is iso- to slightly hypodense relative to the density in the aorta, indicating that the findings are negative for the hyperdense consolidation sign.