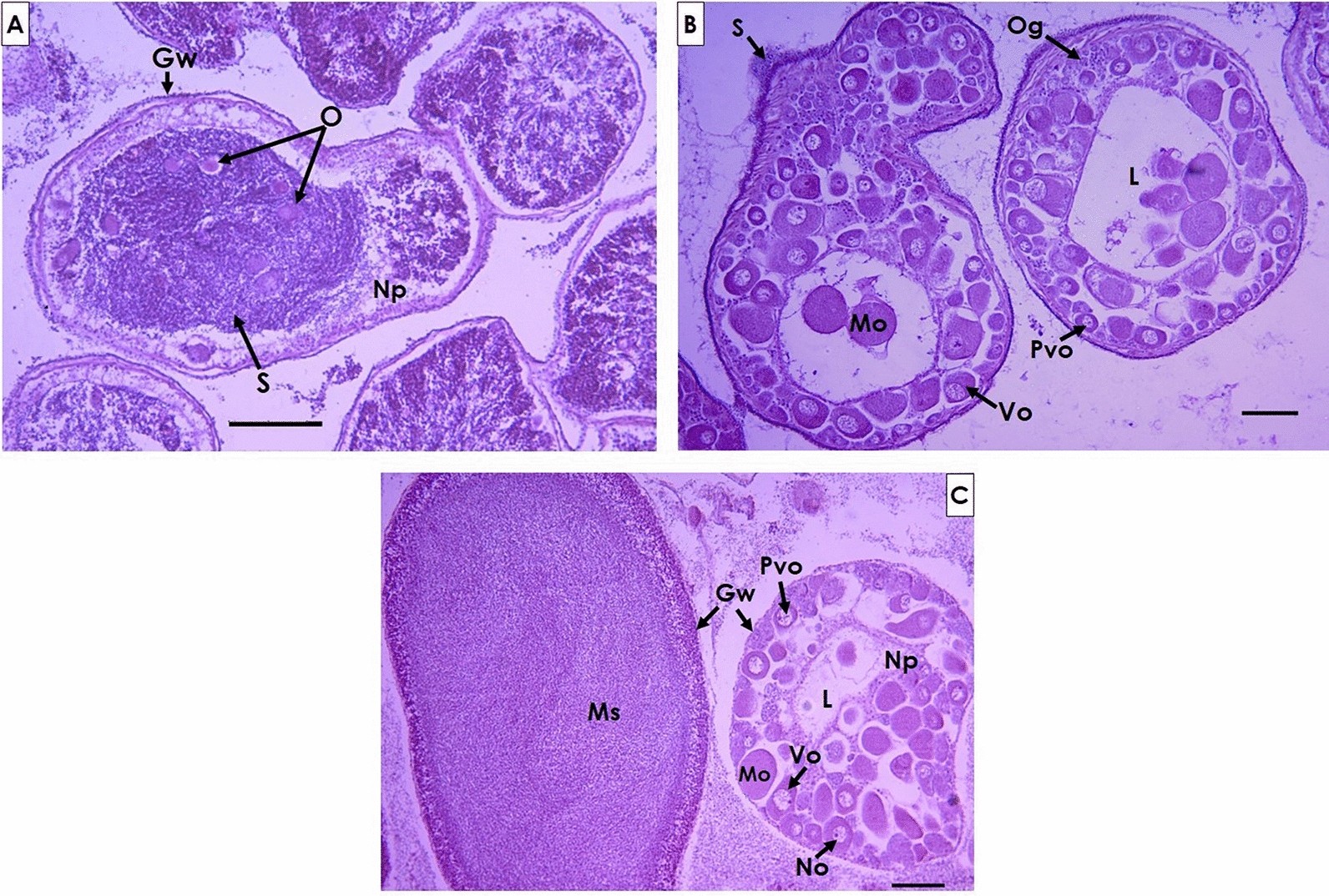
Figure 3

Gonad section of specimens with the presence of hermaphroditism, (A) gonad section with a larger presence of male gametes, (B) gonad section with a larger presence of oocytes, and (C) gonad with a similar proportion of both gametes. Gw gonad wall, L lumen, Mo mature oocytes, Ms mature spermatozoa, No nucleolus, Np nutritive phagocytes, O oocytes, Og oogonia, Pvo previtellogenic oocytes, S spermatids, Vo vitellogenic oocytes. Scale bars are 100 µm.