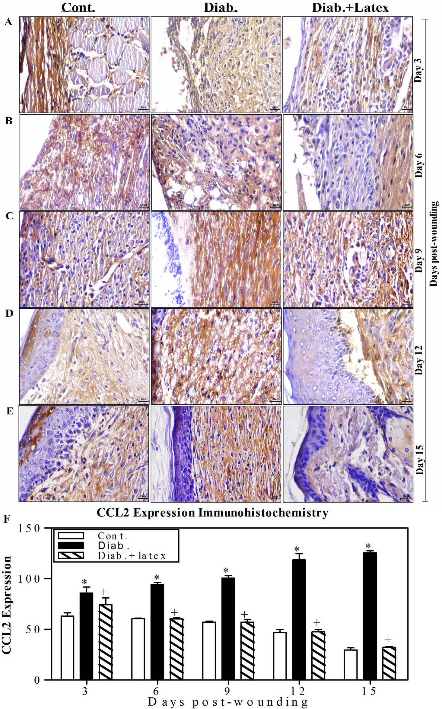
Figure 9

Topical application of fig latex restored the expression levels of CCL2 in wounded diabetic skin tissues. (A, B, C, D and E) show one representative experiment of CCL2 expression in the control mice, diabetic mice and diabetic mice treated with latex at Days 3, 6, 9, 12 and 15 post-wounding. (F) The CCL2+ cells were quantified in the three animal groups, and the accumulated results from three animals from each group are expressed as the mean percentage of CCL2+ cells ± SEM in control mice (open bars), diabetic mice (closed black bars) and diabetic mice treated with fig latex (hatched bars). *P < 0.05, diabetic versus control; and +P < 0.05, diabetic-treated with fig latex versus diabetic animals.