Figure 2

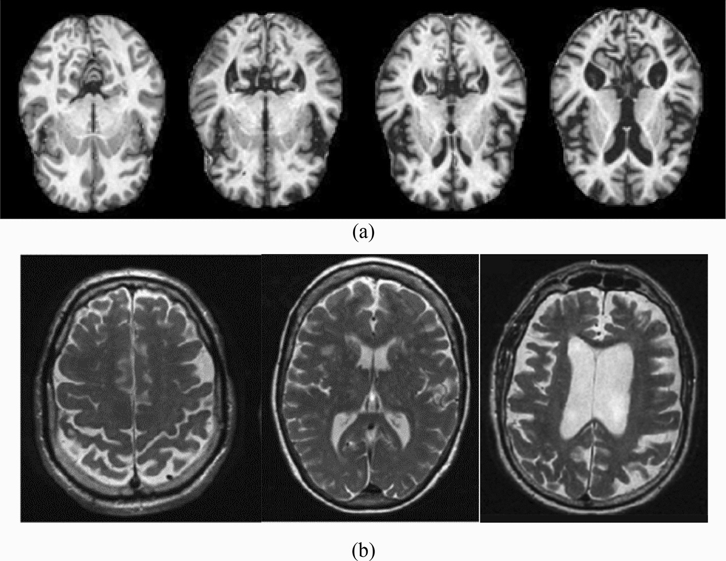
The differences in the area of CSF in (a) the kaggle dataset the images from left to write as no dementia, very mild dementia, mild dementia and moderate dementia (b) the ADNI datasets the images from left to right as CN, MCI and AD.

The differences in the area of CSF in (a) the kaggle dataset the images from left to write as no dementia, very mild dementia, mild dementia and moderate dementia (b) the ADNI datasets the images from left to right as CN, MCI and AD.