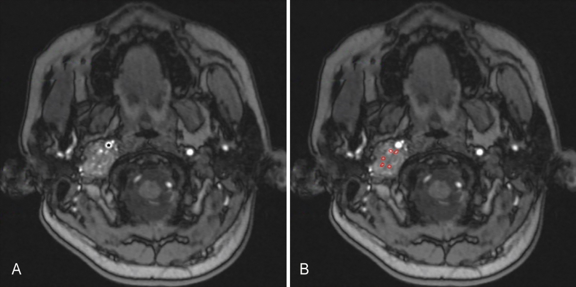
Figure 1

The preoperative axial MRA image of patient with C3 JPs on the right. There are multiple intratumor blood vessels and intraoperative blood loss was 600 ml. (A) The black star indicates the internal carotid artery. (B) The red areas represent the maximum cross-sectional area of intratumor blood vessels.