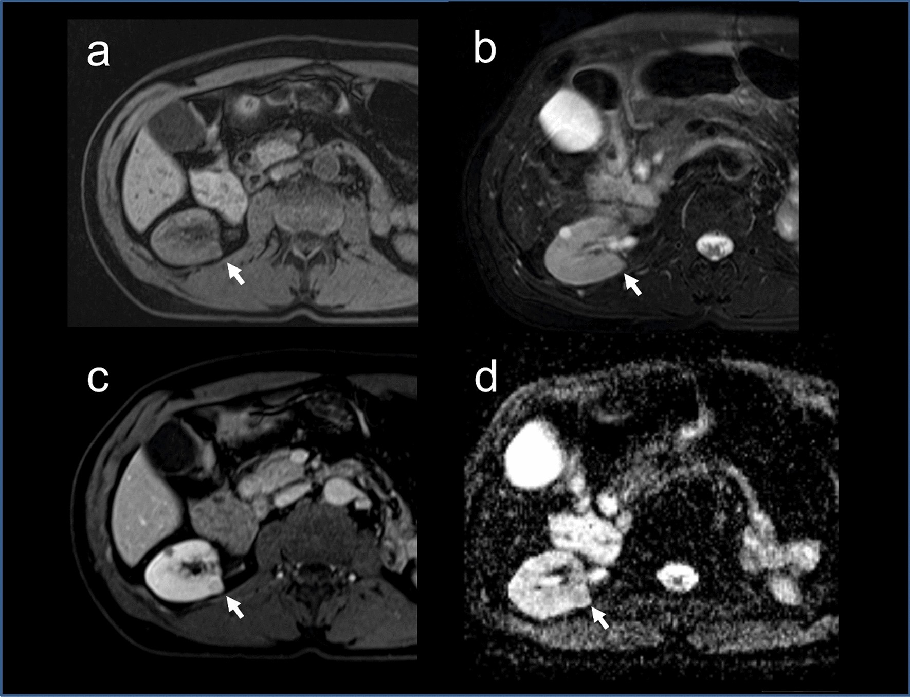
Figure 1

Radiological diagnosis of RCC in a GIST patient. MRI showing a coronal section of the abdomen with renal lesion (arrows). (a) T1 FS image showing a mild low signal intensity of a right posterior 8 mm renal mass. (b) T2 FS image showing increased intensity of the renal lesion. (c) T1 FS image showing hyperenhancement of the lesion after contrast injection. d. ADC MAP showing diffuse restriction of the lesion.