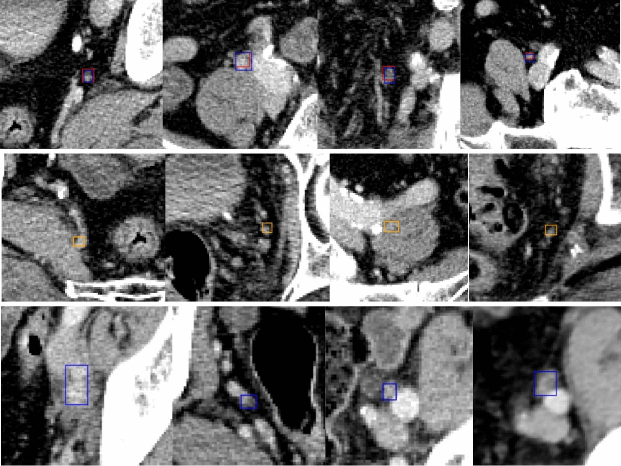
Figure 5

Examples of 2.5D Object Detection Pipeline Prediction on the test set. Images are zoomed in to better visualize the detection boxes. Boxes in red are TPs, in orange are FPs, in blue are GTs. The first row is the visualization of TPs, the second and last are for FPs and FNs, respectively.