Figure 4

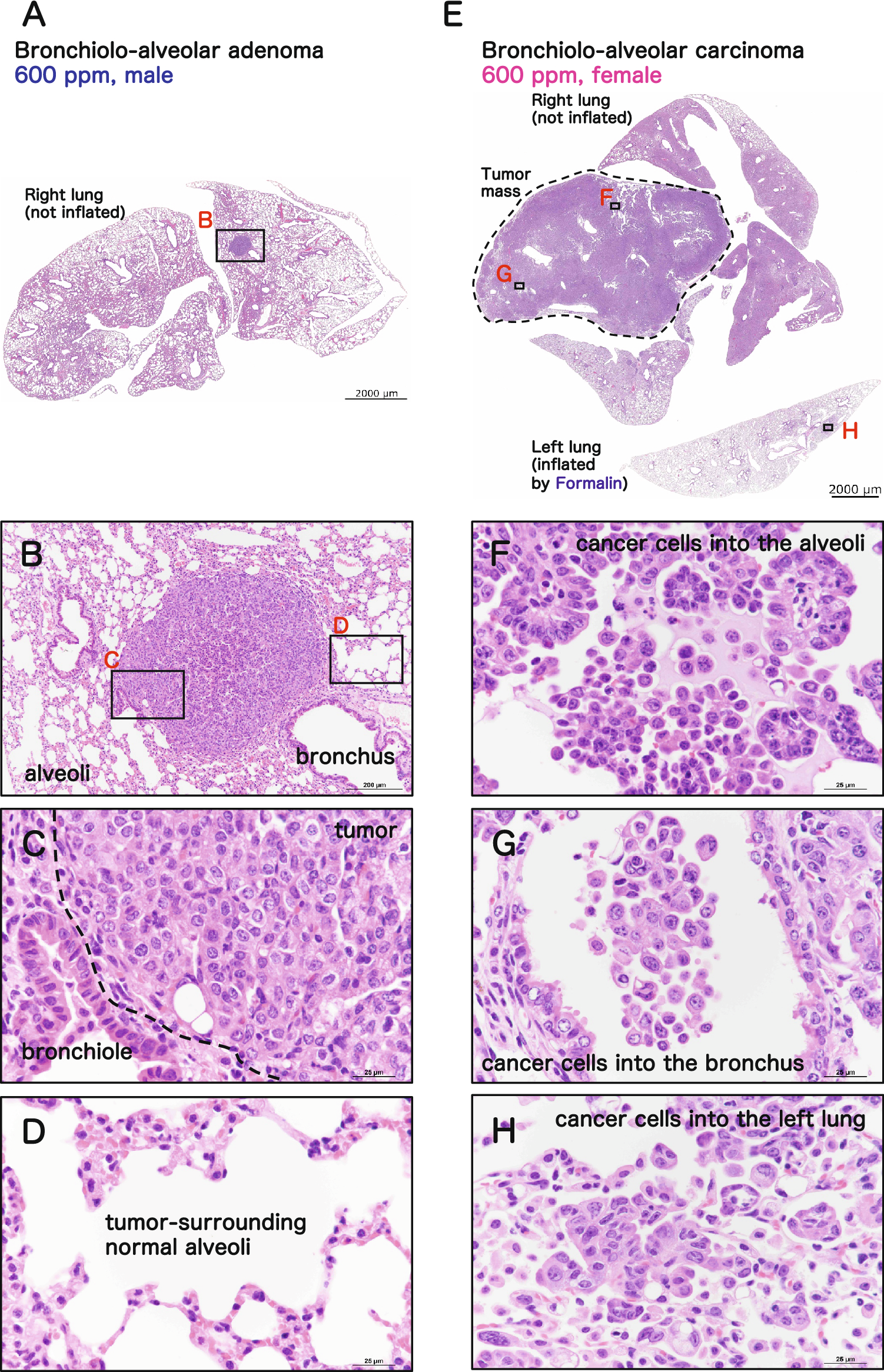
Representative microscopic photographs of male rasH2 mouse lung tumors. Bronchiolo-alveolar adenoma (A,B,C,D) and carcinoma (E,F,G,H).

Representative microscopic photographs of male rasH2 mouse lung tumors. Bronchiolo-alveolar adenoma (A,B,C,D) and carcinoma (E,F,G,H).