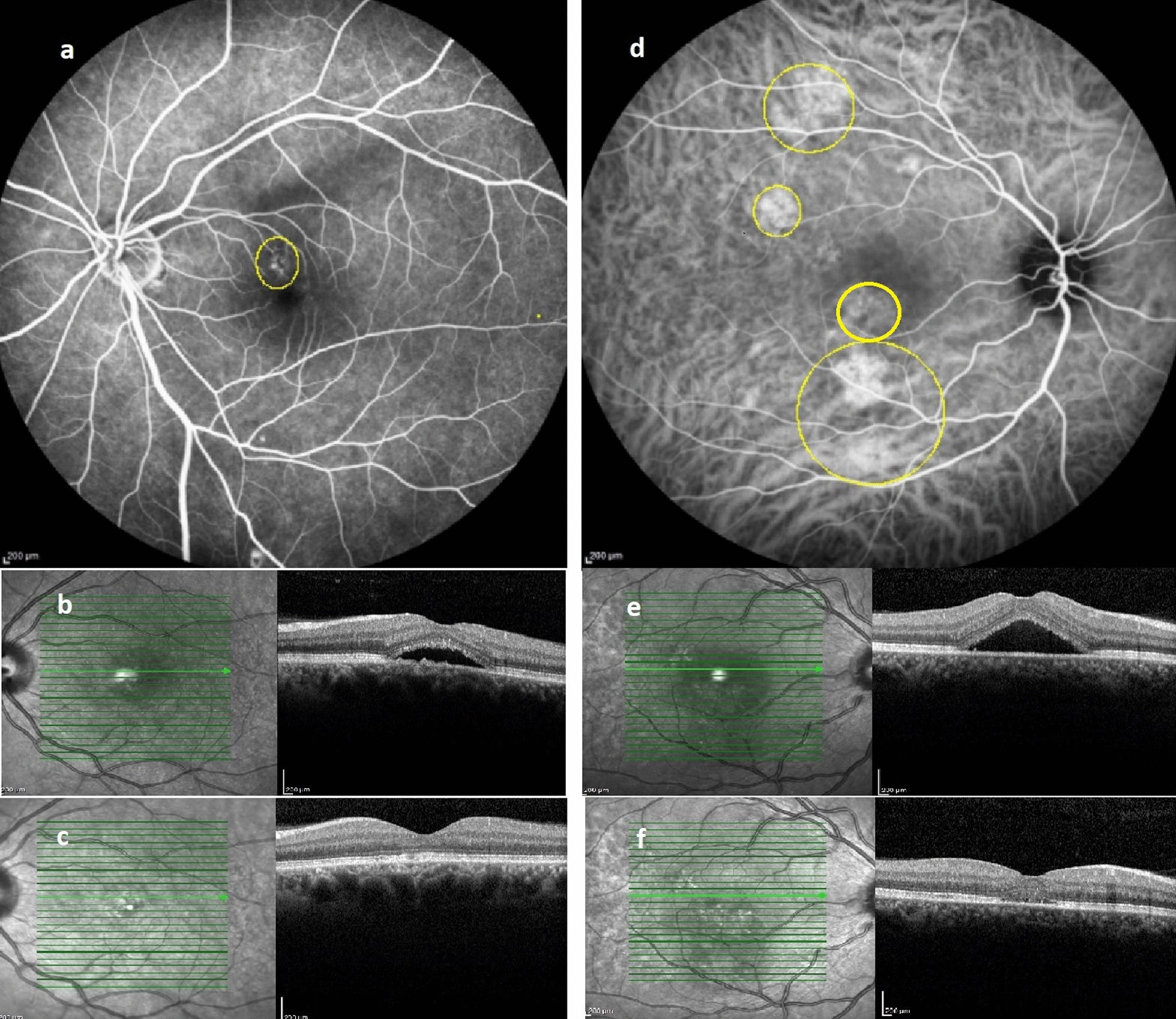
Figure 2

Representative image of patients in FA-based (left column) and ICGA-based (right column) PDT groups: FA; depicted area of leakage was treated with half dose PDT (a). Baseline OCT reveals foveal subretinal fluid (b), which completely resolved following treatment (c). ICGA; delineated areas corresponding to choroidal vascular hyperpermeability received half dose PDT (d). Baseline OCT reveals foveal subretinal fluid (e), which completely resolved following treatment (f).