Figure 3
From: Recombinant anti-HIV MAP30, a ribosome inactivating protein: against plant virus and bacteriophage

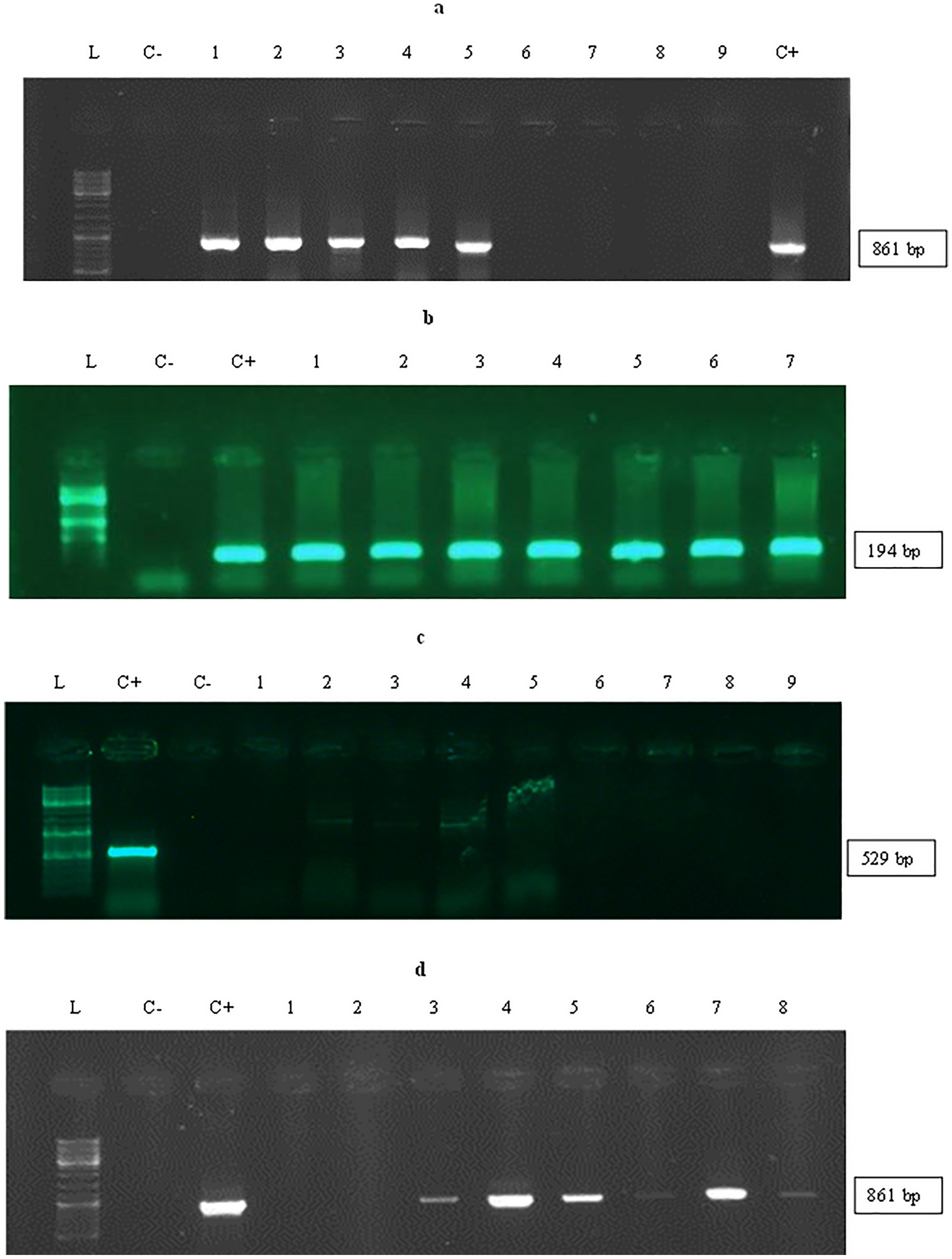
Confirmation of the transgenic lines. PCR amplification of MAP30 (a) and rolB (b) using DNA template, and MAP30 (c) using cDNA, template derived from N. tobacco hairy root lines. Lane L, Ruler 1-kb DNA ladder Mix (Thermo Fisher Scientific, Germany). (a) Lane 1: negative control (water), lanes 2–6: transgenic hairy roots samples, lane 7–10: non-transgenic hairy root samples, lane 11: positive control (transformed A. rhizogenesis DNA); (b) lane 1: negative control (water), lane 2: positive control (transformed A. rhizogenesis DNA), lanes 3–6: transgenic hairy roots samples, lane 7–9: non-transgenic hairy root samples; (c) lane 1: negative control (water), lane 2: positive control (transformed A. rhizogenesis DNA), lanes 3 and 4: non-transgenic hairy root samples, lane 5–10: transgenic hairy root samples.