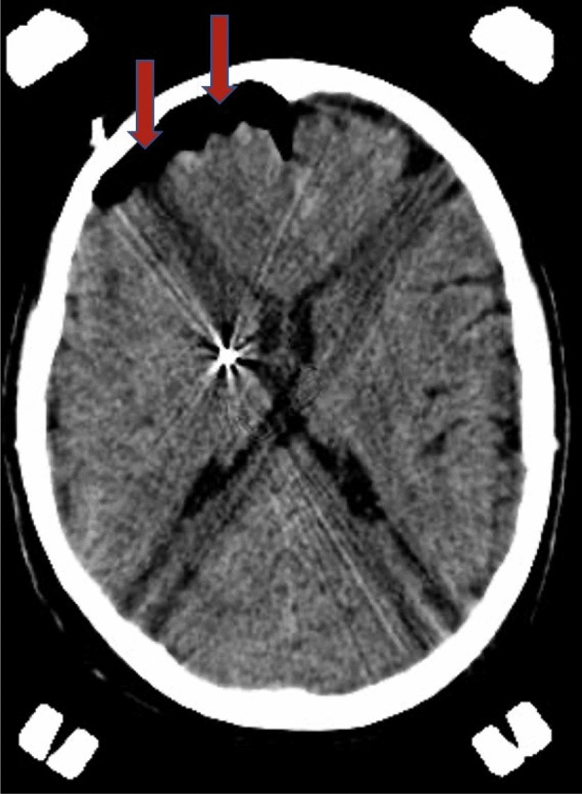
Figure 5
From: MER and increased operative time are not risk factors for the formation of pneumocephalus during DBS

CT scan performed after a unilateral DBS procedure showing the entry of intracranial air (indicated by the red arrows) ipsilateral to the implanted electrode. CT computerized tomography, DBS deep brain stimulation.