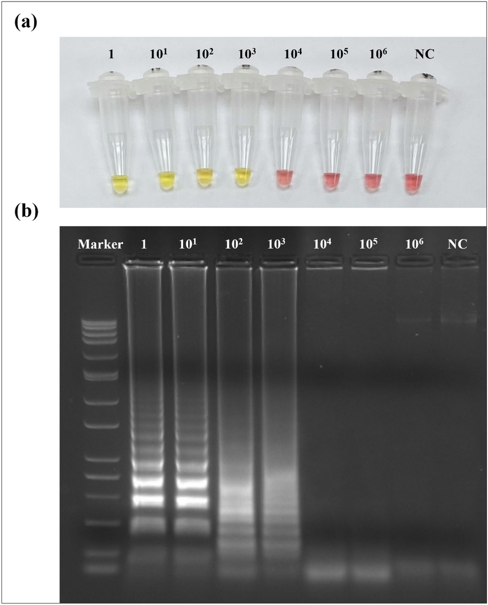
Figure 4

The limit of detection (LoD) of E gene primers tested in the colorimetric RT-LAMP assay on serially diluted SARS-CoV-2 synthetic RNA control (a). The assay detected up to 103 dilutions corresponding to 500 copies/reaction volume (25 µL) or 20 copies/µL. (b) Validation of the colorimetric LoD results via loading the RT-LAMP product post-reaction in 2% agarose gel showing band patterns of the detected diluted samples.