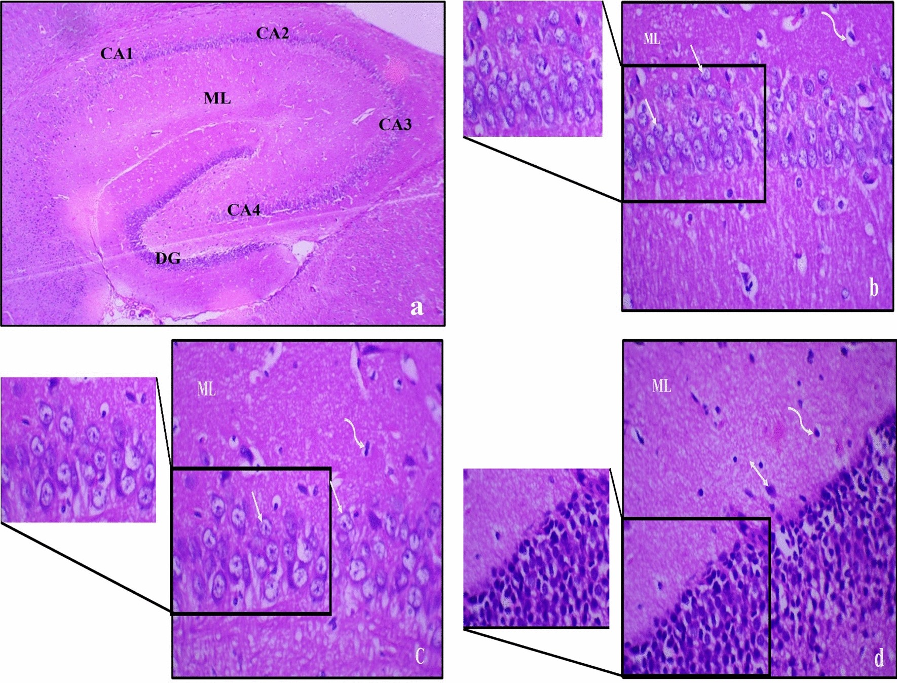
Figure 5

Photomicrograph of haematoxylin and eosin-stained sections from hippocampus of control male rat showing normal regions and histological structure of the hippocampus, where; (a) The hippocampus proper is formed of the Cornu Ammonis (CA) as CA1, CA2, CA3 & CA4 regions, and is continued as subiculum (S). Dentate gyrus (DG) is seen around CA4 by its upper & lower limbs. Molecular layer (ML) is in between CA and of DG (H & E ×40). (b) 4–5 compact layers of small pyramidal neurons of CA1 region, most with vesicular nuclei (↑); (c) shows few layers of large pyramidal neurons in CA3 region, also with vesicular nuclei (↑); (d) shows layers of compact granular cells with dark nuclei in dentate gyrus. Molecular layer (ML) shows many glial cells (wavy arrow) as well as pyramidal cells (↕) [H & E; (a) ×40, (b–d) ×400].