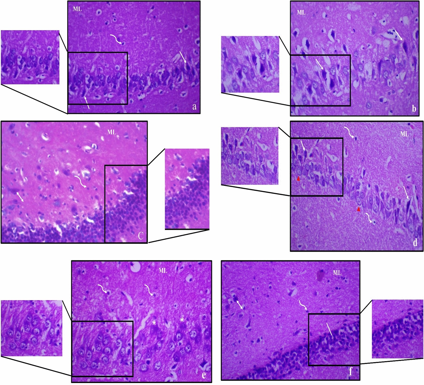
Figure 9

Photomicrograph of haematoxylin and eosin-stained sections from hippocampus of obese male rat (a–c) and obese female rat (d–f) treated with 30 mg of zinc showing dramatic improvement, where: (a) preservation of small pyramidal neurons with few apoptotic cells (↑); (b) some large pyramidal neurons with pyknotic nuclei (↑) and (c) preservation of granular cells with mild disorganization and vacuolation (V). Molecular layer (ML) mostly shows some enlarged neurons (↕) and many glial cells (wavy arrow); (d) preservation of small pyramidal cells (right pointing triangle) with few apoptotic cells (↑); (e) large pyramidal cells show few karyorrhectic nuclei (*) and (f) preservation of granular cells (|) and the molecular layer (ML) mostly shows few enlarged neurons (↕) and many glial cells (wavy arrow) (H & E, ×400).