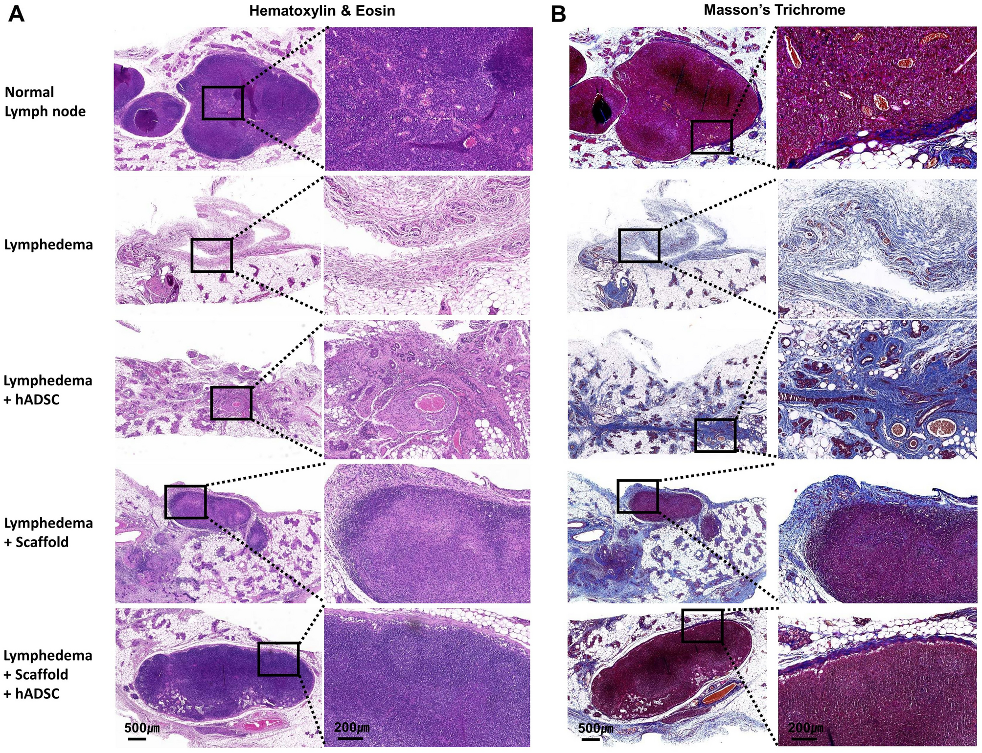
Figure 3

Histopathological observation of recellularizied lymph node scaffold transplantation. (A) Hematoxylin and eosin staining of representative inguinal lymph nodes was performed at 14 days postoperatively. No lymph nodes were observed in lymphedema and ADSCs treatment groups, and lymph node scaffolds were observed in scaffold and recellularized lymph node-scaffold groups. (B) The inguinal lymph nodes slide sections were stained with Masson's trichrome; collagen stained blue, muscle stained red, and nuclei stained black. In lymphedema and ADSCs treatment groups, the proportion of collagen was high, but in ADSCs treatment group, some muscle were observed around the ADSCs transplantation. In scaffold and recellularized lymph node-scaffold groups, a collagen layer was observed surrounding the lymph node scaffold, and a large number of cell nuclei were observed in the lymph node. Scale bars: 500 µm, and 200 µm.