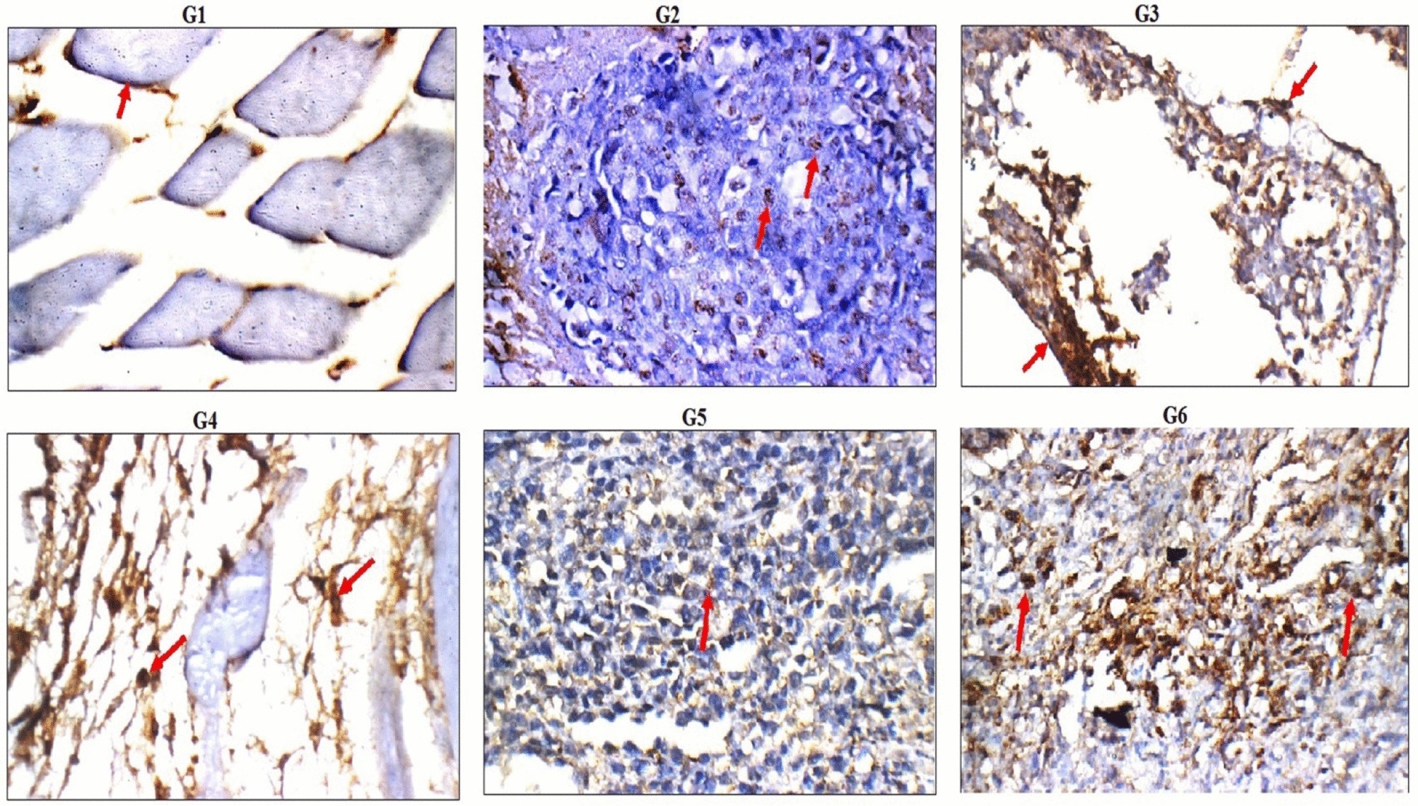
Figure 11

Immuno-histochemical localization of p53 protein (red arrow) in the tumor and muscle tissues of the negative control (G1), tumor control (G2), Doxorubicin treated (G3) and PSO treated (G4–G6) groups (p53 immunostain × 200).

Immuno-histochemical localization of p53 protein (red arrow) in the tumor and muscle tissues of the negative control (G1), tumor control (G2), Doxorubicin treated (G3) and PSO treated (G4–G6) groups (p53 immunostain × 200).