Figure 3
From: The Mc4r gene is responsible for the development of experimentally induced testicular teratomas

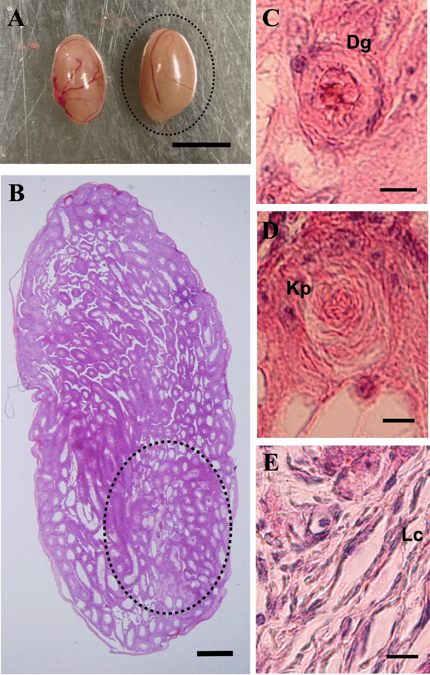
ETT formation by transplantation of fetal testis from LT-Mc4rG25S/G25S into LT. (A) Morphology of the ETT-formed testes. The right testis was transplanted and sectioned. Scale bar = 5 mm. (B) A developed testicular teratoma was found in the section of the testis (the teratoma area developed from transplanted fetal testis is indicated by dotted circle). Scale bar = 500 μm. (B–E) Photographs of tissue-like structures found in a teratoma: (C) digestive gland (Dg); (D) keratin pearl (Kp); (E) loose connective tissue (Lc). Scale bars = 10 μm.