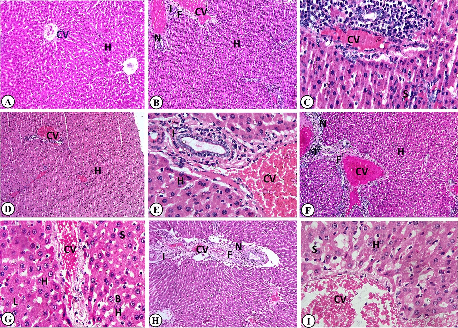
Figure 3

Representative histopathological photomicrographs of hematoxylin-stained cross-sections of rat livers. (A) Control group: showing normal architecture with normal hepatocytes in the hepatic cords (H) and central vein (CV) (H&E stain, × 100). Butylated hydroxyanisole-treated group: (B) showing hepatocytes disorganization (H), dilated and congested central vein (CV), inflammatory cell infiltrations (I) in the portal area, dilated bile ductules (N), and periportal fibrosis (F) (H&E stain × 100). (C) showing dilated and congested central vein (CV) and sinusoids (S), inflammatory cell infiltrations (I) in the portal area, and bile duct hyperplasia (B) (H&E stain, × 400). Potassium sorbate-treated group (D): showing hepatocyte disorganization (H) and congested central vein (CV) (H&E stain × 40). (E) showing hepatocytes degenerative changes (H) with pyknotic nuclei, congested central vein (CV), dilated blood sinusoids, and inflammatory cell infiltrations (I) in the portal area (H&E stain, × 400). Sodium benzoate-treated group showing: (F) hepatocytes disorganized cords (H), congested central vein (CV), mononuclear leucocytic infiltrations (I), newly formed bile ductules (N), and fibrosis (F) in the portal area (H&E stain, × 100). (G) Periportal degenerative changes of hepatocytes (H) with pyknotic nuclei, nuclear loss (L) or binucleated hepatocytes (BH), dilated and congested central vein (CV), and hepatic sinusoids dilatation (S) (H&E stain, × 400). Boric acid-treated group showing: (H) congested portal vein (CV), inflammatory cell infiltrations (I) in the portal area, newly formed bile ductules (N), and portal fibrosis (F) (H&E stain, × 100). Calcium propionate-treated group showing: (I) congested portal vein (CV) and hepatic sinusoids(S) as well as degenerative changes of hepatocytes (H) with pyknotic nuclei (H&E stain, × 400).