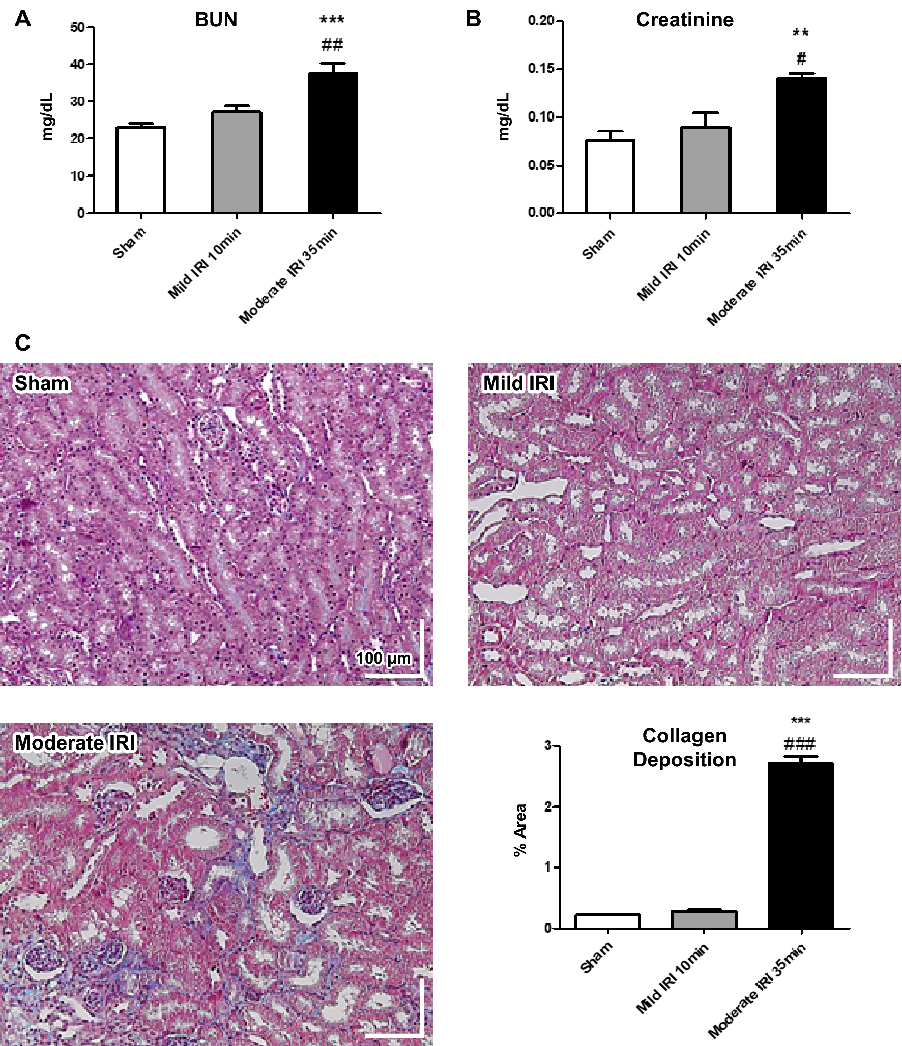
Figure 5

The kidney function and histological alteration in renal ischemia–reperfusion injury models 7 weeks after ischemia. (A, B) The levels of serum blood urea nitrogen (BUN) and creatinine were significantly increased in moderate IRI (35-min) group. (C) The trichrome-stained kidney sections (200×) and their quantifications showed tissue damage in renal tubular epithelial cells and increased collagen deposition in moderate IRI (35-min) group. Data represent mean ± SEM. *p < 0.05, **p < 0.01 ***p < 0.001 vs. sham; #p < 0.05, ##p < 0.01, ###p < 0.001 vs. mild IRI (10-min). The differences among the groups were analyzed using one-way nonparametric ANOVA followed by Tukey’s multiple comparison test.